جدیدترین مطالب سلامتی
- 
	
			دهان و دندان
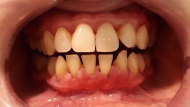
ارتودنسی دیمون چیست ؟ مزایا و معایت آن
ارتودنسی دیمون سیستم ارتودنسی دیمون (Damon System) یک نوع پیشرفته از ارتودنسی ثابت خودلیگاتور (Self-ligating) است که با فلسفهای متفاوت از ارتودنسی سنتی عمل میکند. در این سیستم، سیم ارتودنسی بدون نیاز به کشهای الاستیکی (اورینگ) و از طریق یک مکانیزم قفلشونده کشویی به براکت متصل میشود. این طراحی منحصربهفرد با هدف کاهش اصطکاک و استفاده از نیروهای بسیار ملایم…
بیشتر بخوانید » - 
	
			دهان و دندان
ارتودنسی دو فاز چیست ؟ مزایا و معایب آن
ارتودنسی دو فاز: یک رویکرد پیشگیرانه و رشدی ارتودنسی دو فاز یک استراتژی درمانی تخصصی است که بر پایه درمان زودهنگام و اصلاح ناهنجاریهای اسکلتی در کودکان بنا شده است. این رویکرد به جای منتظر ماندن برای رویش تمام دندانهای دائمی، از پتانسیل رشد کودک بهره میبرد. مرحلهٔ اول آن (معمولاً در سن ۶ تا ۹ سالگی) به هدایت رشد…
بیشتر بخوانید » - 
	
			دهان و دندان
ارتودنسی ثابت چیست ؟ مزایا و معایب آن
ارتودنسی ثابت: بررسی کامل ارتودنسی ثابت (که معمولاً با نام براکتهای ثابت شناخته میشود) یک روش درمانی بسیار مطمئن و مؤثر برای اصلاح طیف گستردهای از بینظمیهای دندانی و ناهنجاریهای فک است. این روش شامل چسباندن اجزای ثابت (براکت، باند و سیم) به دندانها و اعمال نیروی ملایم و کنترلشده برای جابهجایی تدریجی آنها به موقعیت ایدهآل میشود. قیمت ارتودنسی…
بیشتر بخوانید » - 
	
			دهان و دندان
ارتباط تحلیل لثه و دندان مصنوعی چیست ؟
ارتباط تحلیل لثه و دندان مصنوعی ارتباط بین تحلیل لثه و دندان مصنوعی موضوعی پیچیده و چندجانبه است که بر موفقیت درمان پروتتیک و سلامت بلندمدت دهان تأثیر مستقیم دارد. این رابطه یک چرخه بالقوه است: بیماری لثه میتواند موفقیت دندان مصنوعی را به خطر بیندازد و یک دندان مصنوعی نامناسب نیز میتواند سلامت لثه را تضعیف کند. این ارتباط…
بیشتر بخوانید » - 
	
			دهان و دندان
ایمپلنت های دندان چه تفاوت هایی با دندان های طبیعی دارند؟
تفاوتهای ایمپلنتهای دندان با دندانهای طبیعی: بررسی جامع ساختار، عملکرد و ویژگیها ایمپلنتهای دندانی به عنوان یکی از پیشرفتهترین روشهای جایگزینی دندانهای از دست رفته، تشابهات قابل توجهی با دندانهای طبیعی دارند، اما تفاوتهای اساسی نیز بین آنها وجود دارد که بر عملکرد، مراقبت و طول عمر تأثیر میگذارد. در حالی که هدف ایمپلنتها ارائه عملکرد کامل و ظاهر طبیعی…
بیشتر بخوانید » - 
	
			دهان و دندان
ایمپلنت های دندان جدید چه تکنولوژی های پیشرفته ای دارند؟
تکنولوژیهای پیشرفته در ایمپلنتهای دندان جدید دنیای دندانپزشکی در سالهای اخیر شاهد انقلابی واقعی در زمینه ایمپلنتهای دندان بوده است. فناوریهای نوین که از هوش مصنوعی گرفته تا نانوتکنولوژی و تصویربرداری سهبعدی را شامل میشوند، نه تنها دقت و سرعت درمان را افزایش دادهاند، بلکه تجربه بیماران را نیز به طور چشمگیری بهبود بخشیدهاند. این پیشرفتها شامل ایمپلنتهای دیجیتال با…
بیشتر بخوانید » - 
	
			دهان و دندان
بهترین مقاصد برای انجام ایمپلنت دندان کدامند؟
بهترین مقاصد برای انجام ایمپلنت دندان: راهنمای جامع گردشگری دندانپزشکی گردشگری دندانپزشکی به یکی از مهمترین روندهای جهانی در صنعت سلامت تبدیل شده است. بازار جهانی گردشگری دندانپزشکی که در سال ۲۰۲۴ حدود ۱۳.۳۵ میلیارد دلار بوده، انتظار میرود تا سال ۲۰۳۴ به ۹۷.۹۳ میلیارد دلار برسد. این رشد قابل توجه نشاندهنده تمایل فزاینده مردم جهان برای دریافت خدمات دندانپزشکی…
بیشتر بخوانید » - 
	
			دهان و دندان
ایمپلنت های دندان فوری چه مزایایی دارند؟
مزایای ایمپلنتهای دندان فوری: نگاهی جامع به فناوری نوین جایگزینی دندان ایمپلنتهای فوری دندان به عنوان یکی از پیشرفتهترین روشهای جایگزینی دندانهای از دست رفته، مزایای قابل توجهی نسبت به روشهای سنتی ارائه میدهند. این فناوری که امکان کاشت دندان و نصب پروتز موقت را در یک جلسه فراهم میکند، انقلابی در حوزه دندانپزشکی ترمیمی به شمار میرود. بررسیهای علمی…
بیشتر بخوانید » 







