جدیدترین مطالب سلامتی
-
دهان و دندان
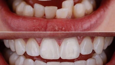
آیا ترمیم دندان برای دندان های کج مناسب است؟
ترمیم دندان برای دندانهای کج داشتن لبخندی زیبا و دندانهایی مرتب، تأثیر بسزایی در اعتماد به نفس و تعاملات اجتماعی دارد. به همین دلیل، ترمیم دندانهای کج موضوعی است که بسیاری از افراد به دنبال اطلاعات دقیق درباره آن هستند. برای اصلاح دندانهای کج یا نامرتب، چندین روش مختلف وجود دارد که هر کدام بر اساس شدت ناهنجاری، بودجه، زمان…
بیشتر بخوانید » -
دهان و دندان
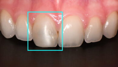
آیا ترمیم دندان برای دندان های جلو مؤثر است؟
اثربخشی و دوام ترمیم دندانهای جلو ترمیم دندانهای جلویی (قدامی) یکی از حساسترین و رایجترین اقدامات در دندانپزشکی مدرن است که تأثیر مستقیمی بر جنبههای حیاتی زندگی بیمار دارد. این دندانها نه تنها در مرکز زیبایی لبخند و چهره قرار دارند، بلکه در کارکردهای اساسی مانند جویدن، تکلم صحیح (ادای حروفی مانند “س” و “ش”) و هدایت حرکات فک پایین…
بیشتر بخوانید » -
دهان و دندان
آیا ترمیم دندان برای بیماران مسن مؤثر است؟
اثربخشی درمانهای ترمیمی در بیماران سالمند با افزایش چشمگیر میانگین سن جمعیت در سراسر جهان، دندانپزشکی سالمندان به یکی از حوزههای حیاتی و رو به رشد در بهداشت دهان و دندان تبدیل شده است. مراقبت از این گروه سنی با چالشهای منحصربهفردی همچون بیماریهای سیستمیک متعدد، مصرف چندین دارو (پلیفارماسی)، کاهش توانایی حرکتی و محدودیتهای شناختی همراه است. در چنین…
بیشتر بخوانید » -
دهان و دندان
آیا ترمیم دندان برای افرادی که بیماری های لثه دارند مؤثر است؟
اثربخشی ترمیمهای دندانی در بیماران مبتلا به بیماریهای لثه (پریودنتیت) این یک تصور رایج و یک نگرانی کاملاً بهجاست که آیا سرمایهگذاری برای ترمیمهای دندانی در بیمارانی که سابقه بیماری لثه (پریودنتیت) دارند، میتواند نتایج پایدار و موفقی به همراه داشته باشد. پاسخ قاطع علم دندانپزشکی مدرن، مثبت است. به شرطی که یک رویکرد درمانی جامع اتخاذ شود که در…
بیشتر بخوانید » -
دهان و دندان
آیا ترمیم دندان باید چندین بار تکرار شود؟
آیا ترمیم دندان باید چندین بار تکرار شود؟ ترمیمهای دندانی، شامل پرکردگیها، روکشها، اینلی و آنلی، راهحلهای حیاتی و مؤثری برای بازگرداندن عملکرد و زیبایی دندانهای آسیبدیده محسوب میشوند. این درمانها به میلیونها نفر کمک میکنند تا دندانهای طبیعی خود را برای مدت طولانیتری حفظ کنند. با این حال، یکی از سوالات رایج و مهم بیماران این است که آیا…
بیشتر بخوانید » -
دهان و دندان
آیا ترمیم دندان باعث درد یا حساسیت می شود؟
راهنمای کامل درد و حساسیت پس از ترمیم دندان ترمیم دندان یکی از رایجترین و مؤثرترین اقدامات دندانپزشکی برای حفظ سلامت دهان است. با این حال، احساس درد و حساسیت پس از آن میتواند برای بسیاری از افراد نگرانکننده باشد. درک این موضوع که این عوارض بخشی از فرآیند بهبودی بدن هستند و شناخت دلایل، انواع و روشهای مدیریت آنها،…
بیشتر بخوانید » -
دهان و دندان
آیا ترمیم دندان باعث تغییر شکل دندان می شود؟
آیا ترمیم دندان باعث تغییر شکل دندان میشود؟ بله، ترمیم دندان نه تنها میتواند بلکه اغلب باعث تغییر شکل دندان میشود. این تغییرات میتوانند جزئی و با هدف بازگرداندن شکل اولیه دندان باشند یا کاملاً گسترده و با هدف بهبود زیبایی و عملکرد صورت گیرند. میزان و نوع این تغییر به روش ترمیم، وسعت آسیب اولیه و اهداف درمانی بستگی…
بیشتر بخوانید » -
دهان و دندان
آیا تحقیقات نشان داده اند که ایمپلنت های دندان طول عمر بیشتری دارند؟
تحقیقات علمی در مورد طول عمر ایمپلنتهای دندان تحقیقات علمی متعددی طی دهههای گذشته نشان دادهاند که ایمپلنتهای دندان به عنوان یکی از موفقترین روشهای جایگزینی دندان، دارای طول عمر قابل توجه و ماندگاری بالایی هستند. مطالعات سیستماتیک و متاآنالیزهای انجام شده در سطح بینالمللی حاکی از آن است که میزان بقای ایمپلنتهای دندان در بازههای زمانی مختلف به طور…
بیشتر بخوانید »







