جدیدترین مطالب سلامتی
-
دهان و دندان
آیا روکش دندان می تواند به حفظ دندان های طبیعی کمک کند؟
آیا روکش دندان میتواند به حفظ دندانهای طبیعی کمک کند؟ بله، قطعا. روکش دندان یک راهکار درمانی-ترمیمی پیشرفته است که با پوشاندن کامل تاج دندان، نقشی حیاتی در تقویت ساختاری، محافظت بیومکانیکی و در نتیجه، افزایش چشمگیر طول عمر دندان طبیعی ایفا میکند. این فرآیند فراتر از یک ترمیم ساده است و به عنوان یک سپر دفاعی کامل برای دندانهای…
بیشتر بخوانید » -
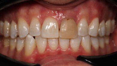
دهان و دندان
آیا روکش دندان می تواند باعث تغییر رنگ دندان شود؟
تغییر رنگ روکش دندان: دلایل، پیشگیری و درمان روکش دندان یک سرمایهگذاری برای زیبایی لبخند شماست، اما برای حفظ درخشش و رنگ اولیه آن، نیازمند آگاهی و مراقبت است. روکشها، بهویژه با گذشت زمان و تحت تأثیر عوامل مختلف، میتوانند دچار تغییر رنگ شوند. این پدیده به نوع روکش، کیفیت مواد استفاده شده در لابراتوار، مهارت دندانپزشک، عادات فردی و…
بیشتر بخوانید » -
دهان و دندان
آیا روکش دندان ممکن است کنده شود؟
راهنمای جامع: چرا روکش دندان کنده میشود و چگونه از آن پیشگیری کنیم؟ خلاصه اصلی: روکش دندان، که به عنوان یک کلاهک محافظ برای دندان آسیبدیده عمل میکند، میتواند در شرایط خاصی شل شده یا کاملاً کنده شود. شناخت دقیق عوامل مؤثر، آگاهی از نشانههای هشداردهنده، روشهای مؤثر پیشگیری و اقدام سریع و صحیح در هنگام وقوع این حادثه، کلید…
بیشتر بخوانید » -
دهان و دندان
آیا روکش دندان ممکن است باعث درد یا حساسیت شود؟
راهنمای کامل درد و حساسیت پس از روکش دندان روکش دندان یکی از درمانهای کلیدی و رایج دندانپزشکی است که نه تنها ظاهر لبخند را بازسازی میکند، بلکه عملکرد و استحکام دندانهای آسیبدیده را نیز به آنها بازمیگرداند. با این حال، کاملاً طبیعی است که پس از این درمان، برای مدتی احساس درد یا حساسیت موقتی داشته باشید. درک دلایل…
بیشتر بخوانید » -
دهان و دندان
آیا روکش دندان مقاوم به شکست است؟
تحلیل جامع مقاومت روکش دندان در برابر شکستگی روکش دندان یک ترمیم دندانپزشکی است که مانند یک کلاهک روی دندان آسیبدیده قرار میگیرد تا شکل، اندازه، استحکام و زیبایی آن را بازیابی کند. مقاومت این روکشها در برابر شکستگی یک عامل حیاتی برای موفقیت طولانیمدت درمان است. این مقاومت به عوامل متعددی از جمله جنس روکش، طراحی آن، مهارت دندانپزشک…
بیشتر بخوانید » -
دهان و دندان
آیا روکش دندان طول عمر زیادی دارد؟
بله، روکش دندان یک راهحل درمانی با طول عمر نسبتاً زیاد است، اگرچه نباید آن را دائمی در نظر گرفت. روکشها بهطور معمول بین ۱۰ تا ۱۵ سال دوام میآورند، اما این یک میانگین است. با مراقبت صحیح، رعایت بهداشت دهان و دندان، و انتخاب مواد مناسب، یک روکش میتواند تا ۲۰ سال یا حتی بیشتر عمر کند. طول عمر…
بیشتر بخوانید » -
دهان و دندان
آیا روکش دندان به مرور زمان خراب می شود؟
آیا روکش دندان به مرور زمان خراب میشود؟ بله، روکش دندان یک راهحل دائمی مادامالعمر نیست و به مرور زمان دچار فرسودگی و خرابی میشود. طول عمر متوسط یک روکش دندان معمولاً بین ۵ تا ۱۵ سال تخمین زده میشود، اما این بازه زمانی به شدت متغیر است. با انتخاب مواد باکیفیت، تکنیک صحیح دندانپزشک و از همه مهمتر، مراقبت…
بیشتر بخوانید » -
دهان و دندان
آیا روکش دندان برای کودکان مناسب است؟
روکش دندان برای کودکان: راهنمای کامل و جامع برای والدین بله، روکش دندان برای کودکان نه تنها یک گزینه درمانی مناسب، بلکه در بسیاری از شرایط یک ضرورت پزشکی است. بسیاری از والدین با شنیدن کلمه «روکش» نگران میشوند، زیرا آن را درمانی مختص بزرگسالان میدانند. اما واقعیت این است که روکش دندان کودکان یا «کراون» (Crown)، یکی از مؤثرترین…
بیشتر بخوانید »







