جدیدترین مطالب سلامتی
-
دهان و دندان
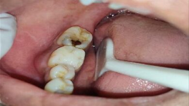
پوسیدگی دندان چیست و چگونه می توان از آن پیشگیری کرد ؟
پوسیدگی دندان چیست؟ پوسیدگی دندان، که در علم دندانپزشکی به آن “کاریِس” (Caries) گفته میشود، یک بیماری عفونی و چندعاملی است که به تخریب پیشرونده بافتهای سخت دندان (مینا، عاج و سمان) منجر میشود. این فرآیند صرفاً یک “سوراخ شدن” ساده نیست، بلکه یک نبرد دینامیک بین فرآیندهای معدنیزدایی (Demineralization) و معدنیسازی مجدد (Remineralization) در سطح دندان است. دهان انسان…
بیشتر بخوانید » -
دهان و دندان
پوسیدگی دندان بعد از زایمان: علل، علائم و راههای پیشگیری
پوسیدگی دندان بعد از زایمان پوسیدگی دندان بعد از زایمان یکی از مشکلات شایع و نگرانکنندهای است که بسیاری از مادران با آن مواجه میشوند. این دوره، که با تغییرات فیزیکی و عاطفی عمیقی همراه است، میتواند سلامت دهان و دندان را نیز تحت تأثیر قرار دهد. این مسأله نه تنها بر سلامت و راحتی مادر تأثیر میگذارد، بلکه به…
بیشتر بخوانید » -
دهان و دندان
پر کردن دندان چیست ؟ مزایا و معایت آن
پر کردن دندان چیست؟ پر کردن دندان یا ترمیم دندان (Dental Filling)، یکی از بنیادیترین و رایجترین روشهای درمانی در دندانپزشکی ترمیمی است. هدف اصلی این روش، بازگرداندن عملکرد، استحکام و شکل ظاهری دندانهایی است که دچار آسیب شدهاند. این آسیب معمولاً ناشی از پوسیدگی (کرمخوردگی)، شکستگیهای کوچک یا ترکخوردگی است. در واقع، پر کردن دندان حفره ایجاد شده را…
بیشتر بخوانید » -
دهان و دندان
بریج دندان چیست ؟ مزایا و معایت آن
بریج دندان: راهنمای کامل از دست دادن دندانها، چه به دلیل پوسیدگی، بیماری لثه یا آسیبدیدگی، میتواند تأثیرات منفی بر زیبایی، عملکرد جویدن و سلامت کلی دهان داشته باشد. بریج دندان (پل دندانی) یک راهحل پروتزی ثابت و مؤثر برای جایگزینی یک یا چند دندان از دسترفته است. این روش نه تنها ظاهر لبخند را بازمیگرداند، بلکه از جابجایی دندانهای…
بیشتر بخوانید » -
دهان و دندان
ایمپلنت دندان نسبت به درمان های دیگر مانند بریج چطور عمل می کند؟
عملکرد ایمپلنت دندان در مقایسه با درمانهای دیگر: تحلیل جامع ایمپلنت و بریج ایمپلنت دندان و بریج دندان به عنوان دو روش اصلی جایگزینی دندانهای از دست رفته، تفاوتهای اساسی در مکانیزم عملکرد، دوام، و تأثیرات بر سلامت دهان دارند. ایمپلنت دندان به عنوان میلهای کوچک پیچی شکل از جنس تیتانیوم، طی عمل جراحی در داخل استخوان فک قرار میگیرد…
بیشتر بخوانید » -
دهان و دندان
ایمپلنت دندان چقدر طول می کشد تا بهبودی کامل پیدا کند؟
مدت زمان بهبودی کامل ایمپلنت دندان: تحلیل جامع مراحل و عوامل مؤثر بهبودی کامل ایمپلنت دندان فرآیندی پیچیده و چندمرحلهای است که بسته به عوامل مختلف از جمله موقعیت کاشت، وضعیت سلامت بیمار و نوع جراحی انجام شده، بین ۲ تا ۶ ماه زمان نیاز دارد. این مدت زمان شامل دو بخش اصلی است: بهبودی اولیه بافتهای نرم که حدود…
بیشتر بخوانید » -
دهان و دندان
ایمپلنت دندان برای چه افرادی مناسب است؟
کاندیداهای مناسب برای ایمپلنت دندان: راهنمای جامع شرایط و ملاحظات ایمپلنت دندان به عنوان یکی از پیشرفتهترین روشهای درمانی برای جایگزینی دندانهای از دست رفته، امروزه به گزینهای محبوب و موثر تبدیل شده است. با این حال، موفقیت این درمان به شدت وابسته به انتخاب مناسب کاندیداها و رعایت شرایط خاص است. تحقیقات نشان میدهند که نرخ موفقیت ایمپلنتهای دندانی…
بیشتر بخوانید » -
دهان و دندان
ایمپلنت به روش پانچ چیست ؟ مزایا و معایت آن
ایمپلنت به روش پانچ (Flapless Punch Implant) ایمپلنت پانچ (Punch Implant)، یک تکنیک جراحی پیشرفته و کمتهاجمی برای جایگزینی دندانهای از دست رفته است که در آن، ایمپلنت بدون نیاز به ایجاد برش وسیع در لثه و کنار زدن فلپ (Flap) قرار داده میشود. در این روش، جراح با استفاده از ابزاری دقیق به نام پانچ، تنها یک حفرهی دایرهای…
بیشتر بخوانید »







