جدیدترین مطالب سلامتی
-
دهان و دندان
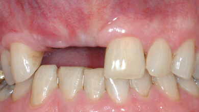
چه تفاوت هایی بین ترمیم دندان و روش های دیگر مانند ایمپلنت یا بریج
مقایسه جامع و تفصیلی ترمیم دندان، ایمپلنت و بریج انتخاب روش مناسب برای جایگزینی یا ترمیم دندانهای آسیبدیده یا از دست رفته، یکی از مهمترین تصمیمات درمانی است که بر سلامت، زیبایی و کیفیت زندگی فرد تأثیر مستقیم دارد. سه روش اصلی شامل ترمیم (پرکردن)، ایمپلنت و بریج (پل دندانی) هر یک دارای ویژگیها، مزایا و معایب منحصر به فردی…
بیشتر بخوانید » -
دهان و دندان
چه تفاوت هایی بین ارتودنسی و دیگر درمان های دندان وجود دارد؟
تفاوتهای بنیادین ارتودنسی با سایر درمانهای دندانپزشکی ارتودنسی بهعنوان یکی از اولین و مهمترین تخصصهای دندانپزشکی، رویکرد منحصربهفردی در درمان ناهنجاریهای دندانی و فکی دارد که آن را از سایر شاخههای دندانپزشکی متمایز میسازد. در حالی که بیش از ۶۰ درصد افراد در طول زندگی خود به نوعی از درمان ارتودنسی نیاز دارند، این تخصص با رویکرد بلندمدت و جامع،…
بیشتر بخوانید » -
دهان و دندان
چه اقداماتی باید برای حفظ نتایج ارتودنسی انجام دهیم؟
حفظ نتایج ارتودنسی: راهنمای جامع اقدامات ضروری پس از درمان درمان ارتودنسی یکی از مهمترین سرمایهگذاریهای بلندمدت برای سلامت دهان و دندان محسوب میشود که نه تنها زیبایی لبخند را بهبود میبخشد، بلکه تأثیر مثبتی بر عملکرد دهان و اعتماد به نفس افراد دارد. با این حال، تحقیقات نشان میدهد که بدون رعایت اقدامات مناسب پس از درمان، احتمال برگشت…
بیشتر بخوانید » -
دهان و دندان
چه افرادی به ارتودنسی نیاز دارند؟
چه کسانی به ارتودنسی نیاز دارند؟ ارتودنسی یکی از رشتههای تخصصی و حیاتی دندانپزشکی است که به تشخیص، پیشگیری و اصلاح ناهنجاریهای پیچیده دندانی و فکی میپردازد. این درمان فراتر از یک مداخله زیبایی برای دستیابی به لبخندی هالیوودی است؛ ارتودنسی یک سرمایهگذاری بلندمدت برای حفظ و بهبود سلامت کلی دهان، عملکرد صحیح سیستم جویدن و در نهایت، افزایش کیفیت…
بیشتر بخوانید » -
دهان و دندان
روکش دندان چه مزایایی دارد؟
مزایایی روکش دندان روکش دندان (Dental Crown) یک کلاهک سفارشیسازی شده است که همانند یک پوشش محافظ، تمام سطح قابل مشاهدهی دندان را میپوشاند. این روش درمانی نه تنها برای ترمیم دندانهای آسیبdیده، بلکه برای بهبود چشمگیر زیبایی لبخند نیز به کار میرود. کاربرد گسترده و نتایج قابل پیشبینی و موفقیتآمیز، روکش را به یکی از اصلیترین و پرطرفدارترین درمانهای…
بیشتر بخوانید » -
دهان و دندان
چگونه می توان دندان ها را برای مدت طولانی سالم نگه داشت؟
چگونه میتوان دندانها را برای مدت طولانی سالم نگه داشت؟ حفظ سلامت دندانها و لثهها، که سنگ بنای سلامت عمومی بدن است، نیازمند رعایت دقیق اصول بهداشت دهان و دندان و پایبندی به یک روتین مراقبتی منظم و آگاهانه است. این راهنما به شما کمک میکند تا با درک عمیقتر روشهای مراقبتی، دندانهایی سالم و لبخندی زیبا برای تمام عمر…
بیشتر بخوانید » -
دهان و دندان
چگونه می توان دندان مصنوعی را از لکه دار شدن جلوگیری کرد؟
راهنمای جامع پیشگیری از لکهدار شدن دندان مصنوعی برای حفظ زیبایی، کارایی و دوام دندان مصنوعی، جلوگیری از تجمع لکهها و تغییر رنگ آن اهمیت بسیار زیادی دارد. دندانهای مصنوعی به دلیل ساختار موادشان، مستعد جذب رنگدانهها و تشکیل رسوب هستند. در ادامه، روشهای کلیدی و مؤثر برای پیشگیری از لکهدار شدن دندان مصنوعی به صورت گسترده و با جزئیات…
بیشتر بخوانید » -
دهان و دندان
چگونه می توان از کامپوزیت دندان برای دندان های کج استفاده کرد؟
کامپوزیت دندان برای درمان دندانهای کج: راهنمای کامل کامپوزیت دندان یک ماده ترمیمی و زیبایی پیشرفته است که از ترکیب یک ماتریس رزینی (معمولاً بیس-GMA) و ذرات پرکننده معدنی (مانند کوارتز، سیلیکا و گلاس) تشکیل شده است. این ترکیب هوشمندانه، خواص فیزیکی و زیبایی منحصربهفردی به این ماده میبخشد. این روش که به عنوان ونیر کامپوزیت یا باندینگ کامپوزیت نیز…
بیشتر بخوانید »







