علت سیاه شدن لثه بالای روکش دندان چیست؟
علت سیاهی لثه بالای روکش دندان: راهنمای جامع تشخیص، درمان و پیشگیری
داشتن لبخندی زیبا و بینقص، آرزوی بسیاری از افراد است و روکشهای دندانی یکی از موثرترین راهها برای رسیدن به این هدف هستند. اما تصور کنید پس از صرف هزینه و زمان برای دریافت روکش، با یک خط تیره و ناخوشایند در مرز لثه و دندان مواجه میشوید. این پدیده که به سیاه شدن لثه بالای روکش معروف است، میتواند زیبایی لبخند شما را خدشهدار کرده و این نگرانی را ایجاد کند که آیا مشکلی جدی برای سلامت دهان و دندان به وجود آمده است.
خوشبختانه، این تغییر رنگ در اکثر موارد نه تنها خطرناک نیست، بلکه با پیشرفتهای علم دندانپزشکی کاملاً قابل پیشگیری و درمان است. علت اصلی این مشکل معمولاً به نسل قدیمیتر روکشها، یعنی روکشهای فلز-سرامیک، و همچنین عواملی مانند سلامت لثهها و دقت در نصب روکش بازمیگردد. در این مقاله، به شکلی عمیق و دقیق، دلایل ایجاد این خط تیره را کالبدشکافی کرده و مدرنترین راهکارهای درمانی و پیشگیرانه را به شما معرفی میکنیم تا با آگاهی کامل برای بازگرداندن زیبایی لبخند خود قدم بردارید.
قیمت روکش دندان در تهران (جدول هزینه)
چرا لثه بالای روکش دندان سیاه میشود؟ علل اصلی
عوامل متعددی میتوانند در ایجاد این خط تیره نقش داشته باشند. شناخت دقیق این دلایل، اولین و مهمترین گام برای انتخاب بهترین روش درمانی است.
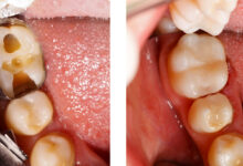
۱. روکشهای فلز-سرامیک (PFM) و سایه خاکستری لثه
شایعترین و اصلیترین متهم در پرونده سیاهی لثه، استفاده از روکشهای پرسلین جوشخورده به فلز (PFM) است. این روکشها برای دههها به دلیل ترکیب استحکام فلز و زیبایی نسبی سرامیک، گزینهای محبوب بودند. ساختار آنها شامل یک کلاهک فلزی (معمولاً از آلیاژهای نیکل-کروم یا در موارد باکیفیتتر، طلا) است که لایهای از پرسلین همرنگ دندان روی آن را میپوشاند. مشکل از همین ساختار دوگانه نشأت میگیرد:
- نمایان شدن لبه فلزی: هنگام نصب، دندانپزشک تلاش میکند تا لبه فلزی روکش را کمی زیر خط لثه پنهان کند. اما این یک راهحل موقتی است. با گذشت زمان و به دلیل تحلیل طبیعی لثه (که در ادامه به آن میپردازیم)، بافت لثه عقبنشینی کرده و آن لبه فلزی که قبلاً مخفی بود، نمایان میشود.
- بازتاب نور از فلز: نکته مهم این است که شما مستقیماً خود فلز را نمیبینید. بلکه لثه که بافتی نیمهشفاف دارد، نور را از خود عبور میدهد. این نور پس از برخورد به سطح تیره فلز، سایهای خاکستری یا آبیرنگ ایجاد میکند که از روی لثه قابل مشاهده است. این پدیده به خصوص در نور شدید یا هنگام عکاسی با فلاش، بیشتر به چشم میآید.
۲. تحلیل لثه: عامل آشکارکننده سیاهی روکش
عقبنشینی لثه به خودی خود یک بیماری نیست، بلکه نشانهای از یک مشکل زمینهای است. این فرآیند نقش کلیدی در آشکار کردن مرز فلزی روکشهای PFM دارد. دلایل اصلی تحلیل لثه عبارتاند از:
- مسواک زدن تهاجمی: استفاده از مسواکهای زبر (Hard) یا وارد کردن فشار بیش از حد هنگام مسواک زدن، به مرور زمان باعث سایش فیزیکی و تخریب بافت نرم و حساس لثه میشود.
- بیماریهای پریودنتال: التهاب لثه (ژنژیویت) در صورت عدم درمان، به پریودنتیت تبدیل میشود. در این حالت، باکتریها با ایجاد عفونت، استخوان حمایتکننده دندان را تخریب میکنند. بدن در واکنش به این تخریب، بافت لثه را نیز به سمت پایین میکشد و باعث تحلیل آن میشود.
- افزایش سن: میزانی از تحلیل لثه بخشی از فرآیند طبیعی پیری است و نمیتوان به طور کامل از آن جلوگیری کرد.
- دندان قروچه (Bruxism): فشار مداوم و شدید ناشی از ساییدن دندانها روی هم، به ویژه در خواب، به ساختارهای نگهدارنده دندان (از جمله لثه و استخوان) آسیب زده و فرآیند تحلیل را تسریع میکند.
۳. نصب نادرست روکش و ایجاد شکاف
دقت در نصب روکش به اندازه کیفیت خود روکش اهمیت دارد. اگر لبههای روکش به طور کامل با دندان منطبق نباشد (اصطلاحاً “مارجینها باز باشند”)، یک شکاف میکروسکوپی ایجاد میشود. این فضا به پناهگاهی برای باکتریها، پلاک و ذرات غذا تبدیل میشود. فعالیت باکتریها در این ناحیه نه تنها باعث پوسیدگی دندان زیرین و بوی بد دهان میشود، بلکه میتواند منجر به التهاب مزمن لثه و تغییر رنگ آن در ناحیه تماس گردد.
۴. کیفیت و نوع آلیاژ فلزی
استفاده از آلیاژهای فلزی غیراستاندارد (فلزات پایه مانند نیکل) در ساخت روکشهای PFM میتواند مشکلات متعددی ایجاد کند:
- اکسیداسیون: این فلزات در محیط مرطوب دهان دچار خوردگی و اکسیداسیون میشوند. یونهای فلزی آزاد شده میتوانند به بافت لثه نفوذ کرده و رنگ آن را برای همیشه تیره کنند (شبیه به یک “تاتوی فلزی”).
- واکنش آلرژیک: برخی افراد به نیکل یا فلزات دیگر حساسیت دارند که میتواند به شکل قرمزی، تورم و التهاب مزمن در لثه بروز کند.
عوامل تشدیدکننده سیاهی لثه
علاوه بر دلایل اصلی، برخی عادات و شرایط میتوانند این مشکل را بدتر کنند.
تأثیر ویرانگر دخانیات بر رنگ و سلامت لثه
مصرف سیگار و سایر دخانیات از چند جهت به تیرگی لثه دامن میزند. نیکوتین سلولهای تولیدکننده رنگدانه (ملانوسیتها) را تحریک کرده و باعث تولید بیش از حد ملانین و ایجاد لکههای تیره روی لثه میشود (ملانوزیس سیگاریها). مهمتر از آن، سیگار با انقباض عروق خونی، جریان خون به لثهها را کاهش میدهد. این امر توانایی لثه برای ترمیم خود و مبارزه با عفونت را مختل کرده و آن را در برابر بیماری و تحلیل آسیبپذیرتر میکند.
جذب رنگدانهها از مواد غذایی
مصرف مداوم نوشیدنیهایی مانند قهوه، چای، شراب قرمز و مواد غذایی با رنگدانههای قوی (مانند زردچوبه و سس سویا) میتواند به مرور زمان باعث لکهدار شدن سمان دندانپزشکی (که برای چسباندن روکش استفاده شده) در خط لثه شود و تیرگی را تشدید کند.
افزایش طبیعی ملانین (پیگمانتاسیون فیزیولوژیک)
در برخی نژادها و افراد با پوست تیرهتر، تجمع طبیعی رنگدانه ملانین در لثه بیشتر است. این وضعیت کاملاً طبیعی، بیخطر و صرفاً یک ویژگی ژنتیکی است، اما ممکن است با سیاهی ناشی از روکش اشتباه گرفته شود.
راهکارهای درمانی و پیشگیری از سیاهی لثه اطراف روکش
خوشبختانه، دندانپزشکی مدرن برای هر یک از این مشکلات، راهحلهای موثر و زیبایی ارائه میدهد.
تعویض روکش: راهحل قطعی و زیباییشناختی
موثرترین، دائمیترین و بهترین راه برای خلاص شدن از شر خط سیاه لثه، تعویض روکش PFM با روکشهای تمام سرامیک (All-Ceramic) است. این روکشها فاقد هرگونه فلز هستند و نور را دقیقاً مانند یک دندان طبیعی بازتاب میدهند. محبوبترین و بهترین انواع آنها عبارتاند از:
- روکش زیرکونیا (Zirconia): این ماده که به “فولاد سرامیکی” مشهور است، استحکام فوقالعاده بالایی دارد و برای دندانهای عقبی که فشار جویدن زیادی را تحمل میکنند، ایدهآل است. زیرکونیا همچنین زیستسازگاری بالایی دارد، یعنی بافت لثه به خوبی آن را میپذیرد و دچار التهاب نمیشود.
- روکش E-MAX (لیتیوم دیسیلیکات): این نوع سرامیک به دلیل شفافیت، درخشش و قابلیت تطابق رنگ بینظیر، به عنوان استاندارد طلایی برای روکشهای دندانهای جلویی شناخته میشود. روکش E-MAX میتواند نور را به شکلی عبور دهد که کاملاً از دندان طبیعی غیرقابل تشخیص باشد.
این روکشها به دلیل ساختار یکپارچه و همرنگ، حتی در صورت تحلیل جزئی لثه در آینده، هرگز باعث ایجاد خط تیره نخواهند شد.
درمان تیرگی لثه با لیزر (دپیگمنتیشن)
اگر تیرگی لثه ناشی از تجمع رنگدانههای ملانین باشد، میتوان از درمان دپیگمنتیشن لثه با لیزر بهره برد. در این روش که کمتهاجمی و تقریباً بدون درد است، انرژی لیزر به آرامی لایه سطحی و تیره لثه را که حاوی ملانین اضافی است، بخار میکند. این کار باعث نمایان شدن لایه زیرین بافت لثه با رنگ صورتی، سالم و طبیعی میشود. این روش برای رفع تیرگی ناشی از سیگار یا پیگمانتاسیون طبیعی بسیار موثر است.
اصول طلایی بهداشت دهان و دندان
حفظ سلامت لثه برای جلوگیری از تحلیل آن و افزایش طول عمر روکش ضروری است.
- از مسواک نرم (Soft) یا فوقالعاده نرم (Ultra-Soft) و خمیردندانهای غیرساینده استفاده کنید.
- برای تمیز کردن نواحی بین دندانها و زیر لبه روکش، علاوه بر نخ دندان، از ابزارهای کمکی مانند واترجت (Water Flosser) یا برسهای بیندندانی (Interdental Brushes) استفاده کنید.
- مراجعات منظم شش ماهه به دندانپزشک برای معاینه و جرمگیری حرفهای را جدی بگیرید.
اصلاح عادات و سبک زندگی
- ترک کامل سیگار: این مهمترین قدم برای بازگرداندن سلامت و رنگ طبیعی لثههاست.
- مدیریت دندان قروچه: در صورت داشتن دندان قروچه، حتماً از محافظ شبانه (Nightguard) که توسط دندانپزشک ساخته میشود، استفاده کنید.
- کاهش مصرف نوشیدنیهای رنگی: سعی کنید این نوشیدنیها را با نی بنوشید و پس از مصرف، دهان خود را با آب شستشو دهید.
مراجعه به دندانپزشک: گام نهایی برای لبخندی درخشان
سیاه شدن لثه بالای روکش دندان اگرچه ناخوشایند است، اما یک مشکل حلشدنی است. امروزه با وجود مواد پیشرفته و تکنیکهای دقیق دندانپزشکی، هیچ دلیلی برای تحمل یک لبخند ناقص وجود ندارد.
مهمترین اقدام، مشورت با یک دندانپزشک متخصص زیبایی و ترمیمی است. او با معاینه دقیق و در نظر گرفتن شرایط شما، علت اصلی مشکل را تشخیص داده و بهترین گزینههای درمانی را به شما پیشنهاد خواهد داد. هنگام مشاوره، سوالاتی از این قبیل بپرسید: “کدام نوع روکش تمام سرامیک برای دندان من مناسبتر است؟” یا “آیا من کاندید مناسبی برای درمان لثه با لیزر هستم؟”. به یاد داشته باشید که سرمایهگذاری برای یک روکش باکیفیت تمام سرامیک و نصب دقیق آن، سرمایهگذاری برای زیبایی، اعتماد به نفس و سلامت طولانیمدت لبخند شماست.
لیست پزشکان مرتبط:
- رها رادفردکترا دندانپزشک | تهران
- مریم اخیانیدکترای دندانپزشک | تهران
- محمدرضا زارعدکترا دندانپزشک | تهران
- حمید آهنگریدکترا دندانپزشک | تهران
- بهروز مشهدی رحیمیدکترا دندانپزشک | تهران
- محمدمهدی حائری اسدیدکترا دندانپزشک | تهران
- مهدی کریمیجراح و دکترای دندانپزشک زیبایی - ایمپلنت - فلوشیپ زیبایی از دانشگاه Genova ایتالیا- فلوشیپ تخصصی ایمپلنت از ICOI آمریکا - فلوشیپ لیزر از دانشگاه Aachen آلمان | تهران
- آزاده خلجیاندکترای دندانپزشک | تهران
- سمیرا فرنیاجراح و متخصص دندانپزشک | تهران
- مرجان مشاطاندکترا دندانپزشک | تهران