دهان و دندان
-
آیا ترمیم دندان در دوران بارداری مشکلی ایجاد می کند؟
راهنمای جامع ایمنی ترمیم (پر کردن) دندان در دوران بارداری انجام درمانهای ترمیمی دندان (از جمله پر کردن) در دوران بارداری نه تنها امکانپذیر، بلکه در صورت وجود مشکل، ضروری است. این درمانها بهطور کلی بیخطر تلقی میشوند، مشروط بر اینکه موارد احتیاطی با دقت رعایت شود و درمانهای اختیاری (غیراورژانسی) برای راحتی بیشتر مادر و ایمنی جنین، ترجیحاً در…
بیشتر بخوانید » -
آیا ترمیم دندان در درمان دندان های ترک خورده مؤثر است؟
اثربخشی ترمیم دندان در درمان دندانهای ترکخورده ترک خوردن دندان، که اغلب تحت عنوان “سندروم دندان ترکخورده” (Cracked Tooth Syndrome) شناخته میشود، یکی از چالشبرانگیزترین وضعیتها در دندانپزشکی است. این مشکل میتواند منجر به علائم متغیری از جمله درد موضعی تیز و ناگهانی هنگام جویدن، حساسیت شدید به فشار و تغییرات دمایی (سرما و گرما)، و دردی که با برداشتن…
بیشتر بخوانید » -
آیا ترمیم دندان به مرور زمان نیاز به ترمیم مجدد دارد؟
نیاز به ترمیم مجدد ترمیمهای دندانی با گذشت زمان هر ترمیم دندانی، اعم از پرکردگی یا روکش، یک راهحل درمانی است و نه یک جایگزین دائمی برای ساختار طبیعی دندان. دهان یک محیط پویا با تغییرات دمایی، فشارهای مکانیکی شدید و حضور مداوم باکتریهاست؛ به همین دلیل، هیچ ترمیمی مادامالعمر دوام نمیآورد و در نهایت ممکن است به دلیل فرسودگی،…
بیشتر بخوانید » -
آیا ترمیم دندان به مراقبت خاصی نیاز دارد؟
راهنمای کامل مراقبت پس از ترمیم دندان ترمیم دندان یک سرمایهگذاری مهم برای سلامت و زیبایی لبخند شماست، اما موفقیت و دوام طولانیمدت آن تنها به کار دندانپزشک بستگی ندارد. مراقبتهای دقیق و اصولی پس از درمان، چه در ساعات اولیه و چه در بلندمدت، نقشی حیاتی در حفظ این سرمایهگذاری ایفا میکنند. این راهنما به شما کمک میکند تا…
بیشتر بخوانید » -
آیا ترمیم دندان به بی حسی نیاز دارد؟
آیا ترمیم دندان به بیحسی نیاز دارد؟ پاسخ به این سوال به عوامل متعددی از جمله نوع و عمق ترمیم دندان، آستانه تحمل درد بیمار و حتی سطح اضطراب او بستگی دارد. در بیشتر موارد، برای اطمینان از تجربهای راحت و بدون درد برای بیمار، ترمیم دندان نیاز به بیحسی دارد. با این حال، در برخی شرایط خاص و با…
بیشتر بخوانید » -
آیا ترمیم دندان برای کودکان مناسب است؟
مناسب بودن ترمیم دندان در کودکان ترمیم دندان در کودکان (شامل پر کردن پوسیدگی، قرار دادن روکش و غیره) تحت نظر متخصص دندانپزشکی کودکان، اقدامی کاملاً مناسب، ضروری و توصیهشده است. برخلاف تصور قدیمی که دندانهای شیری را کماهمیت میدانست، امروزه شواهد علمی محکم و دستورالعملهای معتبر بینالمللی، دلایل متعددی را برای انجام بهموقع و اصولی ترمیم در دندانهای شیری…
بیشتر بخوانید » -
آیا ترمیم دندان برای دندان های کج مناسب است؟
ترمیم دندان برای دندانهای کج داشتن لبخندی زیبا و دندانهایی مرتب، تأثیر بسزایی در اعتماد به نفس و تعاملات اجتماعی دارد. به همین دلیل، ترمیم دندانهای کج موضوعی است که بسیاری از افراد به دنبال اطلاعات دقیق درباره آن هستند. برای اصلاح دندانهای کج یا نامرتب، چندین روش مختلف وجود دارد که هر کدام بر اساس شدت ناهنجاری، بودجه، زمان…
بیشتر بخوانید » -
آیا ترمیم دندان برای دندان های جلو مؤثر است؟
اثربخشی و دوام ترمیم دندانهای جلو ترمیم دندانهای جلویی (قدامی) یکی از حساسترین و رایجترین اقدامات در دندانپزشکی مدرن است که تأثیر مستقیمی بر جنبههای حیاتی زندگی بیمار دارد. این دندانها نه تنها در مرکز زیبایی لبخند و چهره قرار دارند، بلکه در کارکردهای اساسی مانند جویدن، تکلم صحیح (ادای حروفی مانند “س” و “ش”) و هدایت حرکات فک پایین…
بیشتر بخوانید » -
آیا ترمیم دندان برای بیماران مسن مؤثر است؟
اثربخشی درمانهای ترمیمی در بیماران سالمند با افزایش چشمگیر میانگین سن جمعیت در سراسر جهان، دندانپزشکی سالمندان به یکی از حوزههای حیاتی و رو به رشد در بهداشت دهان و دندان تبدیل شده است. مراقبت از این گروه سنی با چالشهای منحصربهفردی همچون بیماریهای سیستمیک متعدد، مصرف چندین دارو (پلیفارماسی)، کاهش توانایی حرکتی و محدودیتهای شناختی همراه است. در چنین…
بیشتر بخوانید » -
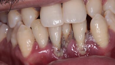
آیا ترمیم دندان برای افرادی که بیماری های لثه دارند مؤثر است؟
اثربخشی ترمیمهای دندانی در بیماران مبتلا به بیماریهای لثه (پریودنتیت) این یک تصور رایج و یک نگرانی کاملاً بهجاست که آیا سرمایهگذاری برای ترمیمهای دندانی در بیمارانی که سابقه بیماری لثه (پریودنتیت) دارند، میتواند نتایج پایدار و موفقی به همراه داشته باشد. پاسخ قاطع علم دندانپزشکی مدرن، مثبت است. به شرطی که یک رویکرد درمانی جامع اتخاذ شود که در…
بیشتر بخوانید »
