دهان و دندان
-
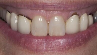
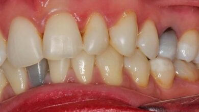
آیا روکش های PFM باعث سیاهی لثه می شوند؟
روکشهای PFM (Porcelain Fused to Metal) که سالهاست به دلیل استحکام و هزینه مقرونبهصرفه به عنوان یکی از گزینههای درمانی اصلی در دندانپزشکی مورد استفاده قرار میگرفتهاند، همواره با چالشهایی از جمله تغییر رنگ و سیاهی لثه مواجه بودهاند. این پدیده که برای بسیاری از بیماران نگرانکننده است، تنها یک مشکل زیبایی نیست، بلکه میتواند نشاندهنده واکنشهای بیولوژیکی در بافت…
بیشتر بخوانید » -
آیا روکش کردن دندان در دوران بارداری مجاز است؟
ایمنی روکش دندان در دوران بارداری: راهنمای جامع برای مادران باردار دوران بارداری، دورهای حساس و حیاتی است که در آن، سلامت مادر و جنین در اولویت قرار دارد. بسیاری از زنان باردار در مورد انجام درمانهای دندانپزشکی، از جمله روکش دندان (تاجگذاری)، نگران هستند. اما آیا میدانید که در صورت نیاز، روکش دندان میتواند به حفظ سلامت دهان و…
بیشتر بخوانید » -
آیا دندان مصنوعی نیاز به جرم گیری دارد؟
راهنمای کامل جرمگیری و نگهداری دندان مصنوعی همانطور که دندانهای طبیعی به مراقبت روزانه و جرمگیری دورهای نیاز دارند، دندان مصنوعی نیز از این قاعده مستثنا نیست. باکتریها و بقایای غذا میتوانند روی سطوح پروتز تجمع کرده و به مرور زمان به جرم سخت و رسوبات تبدیل شوند. در این مقاله به بررسی دلایل تشکیل جرم، راههای پیشگیری و روشهای…
بیشتر بخوانید » -
آیا جرمگیری به کامپوزیت آسیب می زند؟
جرمگیری دندانها یکی از مهمترین اقدامات برای حفظ بهداشت دهان و دندان و پیشگیری از بیماریهای لثه است. با این حال، بسیاری از افرادی که از کامپوزیت دندان برای ترمیم یا زیبایی استفاده کردهاند، نگران آسیب به کامپوزیت در طول فرآیند جرمگیری هستند. این نگرانی به خصوص در مورد احتمال خراشیدگی، افزایش زبری سطح، و کاهش طول عمر کامپوزیت وجود…
بیشتر بخوانید » -
آیا بیماران دیابتی می توانند ایمپلنت دندان انجام دهند؟
امکان انجام ایمپلنت دندان در بیماران دیابتی: راهنمای کامل موفقیت بسیاری از افراد مبتلا به دیابت با این سؤال مهم روبرو هستند که آیا میتوانند از روش درمانی ایمپلنت دندان برای جایگزینی دندانهای از دست رفته خود استفاده کنند؟ پاسخ این است که بله، ایمپلنت دندان در بیماران دیابتی امکانپذیر است، اما با رعایت ملاحظات و شرایط خاص. دیابت، بهویژه…
بیشتر بخوانید » -
آیا بوی بد دهان بعد از ایمپلنت طبیعی است؟
بوی بد دهان یا هالیتوز، مشکلی شایع است که میتواند پس از جراحیهای دندانپزشکی، از جمله ایمپلنت دندان، رخ دهد. بسیاری از افراد نگران این هستند که آیا این بو نشانهای از یک مشکل جدی است یا خیر. در حالی که وجود بوی نامطبوع در روزهای اولیه پس از جراحی میتواند کاملاً طبیعی و موقت باشد، تداوم آن برای بیش…
بیشتر بخوانید » -
آیا بلیچینگ لکه های ناشی از سیگار را از بین می برد؟
لکه های ناشی از مصرف دخانیات، به ویژه سیگار، یکی از چالشبرانگیزترین و رایجترین مشکلات زیبایی دندان هستند. این لکه ها نه تنها ظاهر لبخند را تیره و کدر میکنند، بلکه میتوانند بر اعتمادبهنفس فرد در محیطهای اجتماعی و حرفهای نیز تأثیر منفی بگذارند. بسیاری از افراد سیگاری به دنبال راهحلی مؤثر و علمی هستند تا دندانهای خود را به…
بیشتر بخوانید » -
آیا بلیچینگ دندان های پر شده را سفید می کند؟
تأثیر بلیچینگ دندان بر رنگ پرکردگیها: راهنمای کامل و جامع داشتن لبخندی درخشان و سفید آرزوی بسیاری از افراد است و بلیچینگ دندان یکی از محبوبترین و موثرترین روشها برای دستیابی به این هدف محسوب میشود. با این حال، یکی از رایجترین سوالات در این زمینه، به ویژه برای افرادی که سابقه ترمیم دندان دارند، این است که آیا این…
بیشتر بخوانید » -
آیا بعد از کشیدن تمام دندان ها می توان بلافاصله دندان مصنوعی گذاشت؟
دندان مصنوعی فوری پس از کشیدن تمام دندانها دندان مصنوعی فوری (Immediate Dentures) یک راه حل سریع و نوآورانه برای افرادی است که به دلایل مختلف از جمله پوسیدگی گسترده، بیماری لثه پیشرفته یا آسیبهای شدید، نیاز به کشیدن تمام دندانهای طبیعی خود دارند. این روش به بیمار این امکان را میدهد که هرگز با وضعیت “بیدندانی” مواجه نشود و…
بیشتر بخوانید » -
انواع روکش دندان کدامند؟ راهنمای انتخاب بهترین روکش
روکش دندان، که اغلب با نام کلاهک دندان نیز شناخته میشود، یک پروتز دندانپزشکی است که برای پوشش کامل یک دندان آسیبدیده، فرسوده یا ضعیفشده استفاده میشود. هدف اصلی روکش دندان، بازگرداندن شکل، اندازه، استحکام و بهبود ظاهر دندان است. دندانپزشکان معمولاً زمانی روکش را توصیه میکنند که دندان به دلیل پوسیدگی شدید، شکستگی یا پس از عصبکشی (درمان ریشه)،…
بیشتر بخوانید »









