-
مغز و اعصاب
آیا بیماری ام اس (MS) باعث مرگ میشود؟ نگاهی جامع به طول عمر، عوارض و راهکارهای مدیریتی
تشخیص بیماری مولتیپل اسکلروزیس (MS) اغلب یک نقطه عطف تکاندهنده در زندگی فرد است که با انبوهی از سوالات، عدم…
بیشتر بخوانید » -
مغز و اعصاب
آیا بیماری ام اس (MS) واگیردار است؟ راهنمای کامل برای درک این بیماری خودایمنی
یکی از اولین و رایجترین سوالاتی که پس از شنیدن نام بیماری «ام اس» یا «مولتیپل اسکلروزیس» به ذهن بسیاری…
بیشتر بخوانید » -
مغز و اعصاب
آیا ام اس ارثی است؟ بررسی جامع نقش ژنتیک و عوامل محیطی
بیماری ام اس (MS) یا مولتیپل اسکلروزیس، یکی از شایعترین بیماریهای ناتوانکننده سیستم عصبی مرکزی در جوانان است. هنگامی که…
بیشتر بخوانید » -
مغز و اعصاب
آیا ام اس درمان دارد ؟ هر آنچه که باید بدانید
بیماری ام اس یا مولتیپل اسکلروزیس (Multiple Sclerosis)، یکی از شایعترین بیماریهای مزمن و خودایمنی سیستم عصبی مرکزی است که…
بیشتر بخوانید » -
مغز و اعصاب
آیا هیدروسفالی درمان میشود ؟
پاسخ به این سوال نیازمند درک دقیقتری از اهداف درمانی در پزشکی مدرن است. هیدروسفالی یک بیماری مزمن است که…
بیشتر بخوانید » -
مغز و اعصاب
آیا هیدروسفالی ارثی است ؟ بررسی جامع علل ژنتیکی
هیدروسفالی ارثی: بررسی جامع علل ژنتیکی، مادرزادی و رویکردهای تشخیصی هیدروسفالی، که در زبان عامیانه به آن “آب آوردن مغز”…
بیشتر بخوانید » -
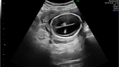
مغز و اعصاب
آیا هیدروسفالی در سونوگرافی مشخص میشود ؟
تشخیص هیدروسفالی با سونوگرافی: راهنمای جامع برای والدین و بیماران هیدروسفالی، که در زبان عامیانه به آن “آب آوردن مغز”…
بیشتر بخوانید » -
مغز و اعصاب
آیا هیدروسفالی کشنده است؟ بررسی کامل
آیا هیدروسفالی کشنده است؟ هیدروسفالی، که در اصطلاح عمومی به آن “آب آوردن مغز” نیز گفته میشود، یک وضعیت پزشکی…
بیشتر بخوانید » -
مغز و اعصاب
هیدروسفالی جنین چیست و در چند هفتگی مشخص میشود ؟
شنیدن یک تشخیص پزشکی غیرمنتظره در دوران بارداری میتواند برای هر پدر و مادری نگرانکننده و همراه با عدم قطعیت…
بیشتر بخوانید » -
مغز و اعصاب
هیدروسفالی چگونه تشخیص داده میشود ؟
هیدروسفالی، که گاهی در زبان عامیانه به آن “آب آوردن مغز” نیز گفته میشود، یک وضعیت پزشکی پیچیده و جدی…
بیشتر بخوانید »









