مزایای کامپوزیت دندان چیست؟
کامپوزیت دندان به عنوان یکی از پیشرفتهترین و محبوبترین روشهای زیبایی و ترمیم دندان در دندانپزشکی مدرن شناخته میشود. این روش با بهرهگیری از مواد رزینی همرنگ دندان، امکان اصلاح طیف وسیعی از نواقص و مشکلات دندانی را فراهم میآورد و لبخندی زیبا و طبیعی را به ارمغان میآورد. مواد کامپوزیت که از ترکیب دقیق رزینهای پلیمری، ذرات گلاس (شیشه) و کوارتز تشکیل شدهاند، به دلیل ویژگیهای منحصربهفرد و مزایای چشمگیر خود، به سرعت جایگاه ویژهای در میان دندانپزشکان و بیماران پیدا کردهاند. این تکنیک درمانی نه تنها به بهبود ظاهر دندانها کمک میکند، بلکه در حفظ سلامت و عملکرد آنها نیز نقش بسزایی دارد.
قیمت کامپوزیت دندان در تهران (جدول هزینه)
مزایای اصلی کامپوزیت دندان
سفید کردن و بهبود رنگ دندانها
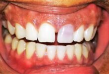
یکی از برجستهترین و مطلوبترین مزایای کامپوزیت دندان، توانایی شگفتانگیز آن در سفید کردن و تغییر رنگ دندانهای زرد، کدر یا رنگپریده است. در حالی که روشهای سنتی سفیدکننده دندان ممکن است برای دندانهایی که با مواد نقرهای (آمالگام) پر شدهاند یا دارای لکههای عمیق هستند، کارایی لازم را نداشته باشند، کامپوزیت میتواند به طور مؤثر و ایمن رنگ دندانها را به میزان قابل توجهی بهبود بخشد. این ماده در طیف وسیعی از رنگها و سایهها موجود است که به دندانپزشک امکان میدهد دقیقترین و نزدیکترین رنگ را به دندانهای طبیعی بیمار انتخاب کند. این قابلیت تطبیق رنگ، تضمین میکند که نتیجه نهایی کاملاً طبیعی به نظر برسد و تفاوتی با سایر دندانها نداشته باشد، که این امر به ویژه در دندانهای جلویی از اهمیت بالایی برخوردار است.
ظاهر طبیعی و هماهنگ
مواد کامپوزیت به دلیل قابلیت بالای خود در تنظیم و تطبیق دقیق با رنگ، شکل و حتی شفافیت دندانهای طبیعی بیمار، نتایجی فوقالعاده طبیعی و هماهنگ ایجاد میکنند. این ویژگی منحصر به فرد باعث میشود که پس از اعمال و پولیش، کامپوزیت به سختی از ساختار اصلی دندان قابل تشخیص باشد. دندانپزشک میتواند با استفاده از تکنیکهای لایهبندی و فرمدهی، جزئیات ظریفی مانند برجستگیها و فرورفتگیهای طبیعی سطح دندان را بازسازی کند. کامپوزیتها به دلیل شباهت ساختاری به بافت طبیعی دندان و همچنین انعطافپذیری بالا در حین کار، ظاهری کاملاً ارگانیک و زیبا به دندانها میبخشند و لبخندی دلنشین و بدون نقص را برای فرد به ارمغان میآورند.
حفظ ساختار دندان طبیعی
یکی از بزرگترین مزایای کامپوزیت دندان، ماهیت کمتهاجمی آن است که نیاز به تراشیدن قابل توجه دندانهای طبیعی را به حداقل میرساند یا حتی به طور کامل از بین میبرد. در این روش، هدف اصلی اصلاح نواقص دندانی با حفظ حداکثری ساختار سالم دندان است. در بسیاری از موارد، تنها مقدار بسیار کمی از مینای دندان برای ایجاد چسبندگی بهتر مواد کامپوزیت آمادهسازی میشود. این رویکرد در تضاد کامل با روشهایی مانند روکشهای پرسلن (لمینت سرامیکی) است که برای نصب آنها نیاز به تراشیدن قابل توجه و گاهی اوقات برگشتناپذیر مینای دندان وجود دارد. حفظ ساختار طبیعی دندان نه تنها به سلامت طولانیمدت دندان کمک میکند، بلکه از حساسیتهای احتمالی نیز جلوگیری کرده و فرآیند درمان را برای بیمار بسیار راحتتر میسازد.
سرعت و راحتی درمان
کامپوزیت دندان به عنوان یک روش کمتهاجمی، نوین، سریع و بسیار مؤثر برای زیباسازی و ترمیم دندانها شناخته میشود. یکی از جذابترین جنبههای این درمان، مدت زمان بسیار کوتاه آن است؛ به طوری که اغلب در یک جلسه درمانی به اتمام میرسد. این ویژگی برای افرادی که مشغله زیادی دارند یا از مراجعههای مکرر به دندانپزشکی اجتناب میکنند، ایدهآل است. فرآیند کامپوزیت معمولاً بدون درد است و در اکثر موارد نیازی به تزریق بیحسی موضعی نیست، مگر اینکه ترمیم عمدهای در کار باشد یا دندان قبلاً حساسیت داشته باشد. این سرعت و راحتی، تجربه درمانی دلپذیری را برای بیماران فراهم میکند و به آنها اجازه میدهد تا بلافاصله پس از اتمام جلسه، از لبخند جدید خود لذت ببرند.
قابلیت ترمیم و بازگشتپذیری
یکی از ویژگیهای مهم و اقتصادی کامپوزیت دندان، قابلیت بالای آن در ترمیم و بازگشتپذیری است. در صورتی که کامپوزیت دندان دچار شکستگی، لبپر شدن یا تغییر رنگ جزئی شود، به راحتی قابل ترمیم است و نیازی به تعویض کامل آن نیست. دندانپزشک میتواند با افزودن لایههای جدیدی از مواد کامپوزیت، ناحیه آسیبدیده را به طور دقیق ترمیم کند، بدون اینکه کل ترمیم قبلی برداشته شود. این ویژگی نه تنها هزینههای درمانی را کاهش میدهد، بلکه فرآیند را برای بیمار نیز سادهتر میکند. علاوه بر این، در مقایسه با ونیرهای سرامیکی یا سایر درمانهای دائمی که برگشتناپذیر هستند، رزین کامپوزیت میتواند در صورت نیاز به طور کامل برداشته و جایگزین شود، که این انعطافپذیری یک مزیت بزرگ محسوب میشود.
کاربردهای متنوع
کامپوزیت دندان به دلیل انعطافپذیری و قابلیت شکلدهی بالا، کاربردهای گستردهای در دندانپزشکی ترمیمی و زیبایی دارد. این ماده میتواند برای حل انواع مشکلات دندانی مورد استفاده قرار گیرد، از جمله:
- اصلاح دندانهای کج و نامرتب: بدون نیاز به ارتودنسیهای طولانیمدت، میتوان کجیهای جزئی و نامرتبیهای خفیف را اصلاح کرد.
- ترمیم شکستگیها و ترکهای دندان: پر کردن شکستگیهای کوچک و ترکهای سطحی که میتوانند منجر به مشکلات بزرگتر شوند.
- بستن فاصله بین دندانها (دیاستما): پر کردن فضاهای ناخواسته بین دندانها برای ایجاد لبخندی یکدست.
- پر کردن حفرههای دندانی: جایگزینی مناسب برای پرکنندههای آمالگام، با ظاهری طبیعیتر.
- بزرگ کردن دندانهای کوچک (میکرودنشیا): افزایش طول یا عرض دندانهای کوچک برای هماهنگی با سایر دندانها.
- اصلاح سطح و لبههای دندانها: بازسازی لبههای فرسوده یا نامنظم دندانها برای بهبود زیبایی و عملکرد.
- پوشاندن لکههای مقاوم به بلیچینگ: پوشاندن لکههای داخلی یا خارجی که با روشهای سفیدکننده سنتی از بین نمیروند.
- بازسازی دندانهای فرسوده: ترمیم دندانهایی که به دلیل ساییدگی یا فرسایش دچار کاهش ارتفاع شدهاند.
مقاومت و محافظت از دندان
مواد کامپوزیت دندان پس از اعمال و سفت شدن با نور مخصوص، به صورت یک لایه محکم و سخت روی سطح دندانها قرار میگیرند و به طور شیمیایی به ساختار دندان میچسبند. این چسبندگی قوی، نه تنها باعث پایداری ترمیم میشود، بلکه در برخی موارد میتواند به تقویت ساختار کلی دندان نیز کمک کند. از نظر بسیاری از دندانپزشکان، این لایه محافظ میتواند دندانهای شما را در برابر شکستگیهای آتی و آسیبهای مکانیکی مقاومتر سازد. کامپوزیتها مقاومت مناسبی در برابر نیروهای جویدن و سایش دارند و میتوانند به راحتی ترمیمهای کوچک و متوسط را تحمل کنند. این مقاومت به معنای محافظت بیشتر از دندان طبیعی در برابر پوسیدگیهای ثانویه و فرسایش است.
عدم ایجاد حساسیت دندانی
یکی از نگرانیهای رایج پس از برخی درمانهای دندانپزشکی، بروز حساسیت دندانی نسبت به تغییرات دما (سردی یا گرمی) است. با انجام کامپوزیت، معمولاً دندانها نسبت به این تغییرات حساسیت دائمی پیدا نمیکنند. در واقع، کامپوزیت به دلیل خاصیت عایق بودن، میتواند از پالپ دندان (بخش زنده و حساس دندان) در برابر محرکهای حرارتی محافظت کند. اگرچه ممکن است در ساعات یا روزهای اولیه پس از انجام کامپوزیت، حساسیت خفیفی تجربه شود که کاملاً طبیعی و موقتی است، اما به طور کلی این روش باعث حساسیت دائمی یا مزمن نمیشود. این امر به دلیل چسبندگی کامل کامپوزیت به دندان و عدم وجود فضای خالی بین ترمیم و دندان است که از نفوذ محرکها جلوگیری میکند.
مقرونبهصرفه بودن
یکی از مزایای قابل توجه کامپوزیت دندان، قیمت مناسبتر آن در مقایسه با بسیاری از سایر تکنیکهای زیبایی و ترمیمی دندان است. این روش به طور کلی هزینه کمتری نسبت به لمینتهای سرامیکی (ونیر) یا روکشهای دندانی دارد، که این امر آن را به گزینهای اقتصادیتر برای بسیاری از افراد تبدیل میکند. به عنوان مثال، هزینه کامپوزیت به طور متوسط حدود نصف هزینه لمینت سرامیکی است، در حالی که نتایج زیباییشناختی بسیار مطلوبی را ارائه میدهد. این مقرونبهصرفه بودن، دسترسی به درمانهای زیبایی دندان را برای طیف وسیعتری از جامعه امکانپذیر میسازد و به افراد بیشتری اجازه میدهد تا از مزایای یک لبخند زیبا بهرهمند شوند.
طول عمر و دوام
طول عمر کامپوزیت دندان به طور متوسط بین ۵ تا ۱۰ سال تخمین زده میشود، اما این مدت میتواند بسته به عوامل متعددی متغیر باشد. کیفیت مواد کامپوزیت مورد استفاده، مهارت و تجربه دندانپزشک در اعمال و فرمدهی صحیح، و از همه مهمتر، میزان مراقبت و رعایت بهداشت دهان و دندان توسط بیمار، نقش کلیدی در دوام این ترمیمها ایفا میکنند. به عنوان مثال، کامپوزیت دندانهای جلویی که فشار کمتری ناشی از جویدن را تحمل میکنند، معمولاً عمر بیشتری نسبت به کامپوزیت دندانهای عقبی (که تحت فشار بیشتری هستند) دارند. با رعایت بهداشت دهان و دندان به صورت منظم (مسواک زدن، نخ دندان کشیدن)، پرهیز از عادات مضر (مانند جویدن ناخن یا یخ)، و مراجعه منظم به دندانپزشک برای معاینات و پولیشهای دورهای، عمر کامپوزیتها میتواند به راحتی تا ۸ سال یا حتی بیشتر افزایش یابد.
جمعبندی
کامپوزیت دندان به عنوان یک روش مدرن، مؤثر و چندمنظوره، راه حلی عالی برای بهبود همزمان زیبایی و عملکرد دندانها ارائه میدهد. این روش با ارائه مزایای بیشماری از جمله ظاهر کاملاً طبیعی و هماهنگ با دندانهای اصلی، حفظ حداکثری ساختار دندان طبیعی، سرعت و راحتی بینظیر در فرآیند درمان، قابلیت ترمیم و بازگشتپذیری آسان، و همچنین مقرونبهصرفه بودن، به یکی از محبوبترین گزینهها در دندانپزشکی زیبایی تبدیل شده است. کاربردهای گسترده آن امکان اصلاح طیف وسیعی از عیوب و مشکلات ظاهری دندانها را فراهم میآورد و در نهایت، با بازگرداندن اعتماد به نفس از دست رفته، لبخندی زیبا و درخشان را به افراد هدیه میدهد. انتخاب کامپوزیت دندان، گامی مؤثر در جهت داشتن سلامت دهان و دندان و زیبایی پایدار است.
لیست پزشکان مرتبط:
- رها رادفردکترا دندانپزشک | تهران
- مریم اخیانیدکترای دندانپزشک | تهران
- محمدرضا زارعدکترا دندانپزشک | تهران
- حمید آهنگریدکترا دندانپزشک | تهران
- بهروز مشهدی رحیمیدکترا دندانپزشک | تهران
- محمدمهدی حائری اسدیدکترا دندانپزشک | تهران
- مهدی کریمیجراح و دکترای دندانپزشک زیبایی - ایمپلنت - فلوشیپ زیبایی از دانشگاه Genova ایتالیا- فلوشیپ تخصصی ایمپلنت از ICOI آمریکا - فلوشیپ لیزر از دانشگاه Aachen آلمان | تهران
- آزاده خلجیاندکترای دندانپزشک | تهران
- سمیرا فرنیاجراح و متخصص دندانپزشک | تهران
- مرجان مشاطاندکترا دندانپزشک | تهران