علائم پوسیدگی ثانویه زیر کامپوزیت

راهنمای کامل و جامع شناسایی علائم پوسیدگی ثانویه زیر ترمیمهای کامپوزیتی
ترمیمهای کامپوزیتی که به دلیل ظاهر طبیعی و شباهت به رنگ دندان به “پرکردگیهای همرنگ” مشهورند، انقلابی در دندانپزشکی زیبایی و ترمیمی ایجاد کردهاند. این مواد نه تنها ظاهر لبخند را بازسازی میکنند، بلکه به دلیل قابلیت اتصال مستقیم (باندینگ) به ساختار دندان، به حفظ بافت سالم دندان نیز کمک میکنند. با این حال، این ترمیمها نیز جاودانه نیستند و تحت تأثیر نیروهای جویدن، تغییرات دمایی و محیط اسیدی دهان، ممکن است دچار فرسودگی شوند.
یکی از جدیترین و شایعترین مشکلاتی که میتواند برای این ترمیمها رخ دهد، پوسیدگی ثانویه (Secondary Caries) است. این پدیده به معنای شکلگیری یک کانون پوسیدگی جدید در مرز بین ترمیم و دندان است. علت اصلی آن، ایجاد یک شکاف میکروسکوپی در این مرز است که به آن نشت میکروبی (Microleakage) میگویند. این شکاف به باکتریها و قندها اجازه میدهد تا به زیر ترمیم نفوذ کرده و در محیطی محافظتشده، به آرامی ساختار دندان را تخریب کنند. ماهیت موذیانه این نوع پوسیدگی در این است که اغلب بدون درد یا علائم آشکار پیشرفت میکند و زمانی که شناسایی میشود، ممکن است آسیب قابل توجهی به دندان وارد کرده باشد.
شناسایی بهموقع علائم پوسیدگی ثانویه، کلید جلوگیری از درمانهای پیچیده و پرهزینهای مانند درمان ریشه (عصبکشی)، روکش یا حتی کشیدن دندان است. در ادامه، به بررسی دقیق و عمیق شش علامت کلیدی میپردازیم که هر فردی با داشتن ترمیم کامپوزیتی باید نسبت به آنها هوشیار باشد.
قیمت کامپوزیت دندان در تهران (جدول هزینه)
قیمت ترمیم دندان در تهران (جدول هزینه)
۱. حساسیت دندانی: اولین زنگ خطر که نباید نادیده گرفته شود
افزایش حساسیت در دندان ترمیمشده، اغلب اولین و واضحترین پیامی است که بدن برای هشدار در مورد یک مشکل ارسال میکند. این حساسیت، یک درد تیز، کوتاه و ناگهانی است که در پاسخ به یک محرک خارجی ایجاد میشود.
- حساسیت به سرما و گرما: احساس درد شدید هنگام نوشیدن یک لیوان آب سرد یا یک فنجان چای داغ. این واکنش به این دلیل رخ میدهد که لایه عاج دندان (Dentin) که در زیر مینا قرار دارد، پر از هزاران لوله میکروسکوپی (توبولهای عاجی) است که مستقیماً به عصب دندان متصل هستند. نشت در حاشیه ترمیم باعث میشود این لولهها در معرض تغییرات دمایی قرار گیرند و پیام درد را فوراً به مغز ارسال کنند.
- حساسیت به شیرینی: واکنش دردناک مشابهی هنگام خوردن شکلات، نوشابه یا مواد غذایی شیرین. اسید تولید شده توسط باکتریها پس از مصرف قند، از طریق شکافهای مرزی به عاج نفوذ کرده و آن را تحریک میکند.
اگرچه حساسیت خفیف پس از انجام ترمیم کامپوزیتی تا چند روز طبیعی است، اما شروع ناگهانی حساسیت در دندانی که ماهها یا سالها بدون مشکل بوده، یا تشدید حساسیت قبلی، یک علامت هشدار جدی است. این حساسیت را به عنوان اولین فرصت برای اقدام پیشگیرانه در نظر بگیرید.
۲. درد یا ناراحتی موضعی: نشانه پیشرفت پوسیدگی به لایههای عمیقتر
اگر پوسیدگی ثانویه درمان نشود، از حساسیت گذرا فراتر رفته و به درد پایدارتر و شدیدتری تبدیل میشود. این درد نشان میدهد که پوسیدگی به پالپ دندان (مغز دندان که حاوی عصب و عروق خونی است) نزدیک شده و باعث التهاب آن شده است.
- درد هنگام جویدن یا فشار: احساس درد تیز یا مبهم هنگام جویدن غذا، به خصوص مواد غذایی سفت. این درد میتواند دو علت داشته باشد: اول، فشار مستقیم روی ناحیه پوسیده و نرمشده دندان زیر ترمیم. دوم، وجود ترکهای ریز در ساختار دندان که با هر بار فشار، باز و بسته شده و مایعات را به سمت عصب حرکت میدهند.
- درد ثابت، ضرباندار و خودبهخودی: این جدیترین نوع درد است و اغلب نشاندهنده التهاب غیرقابل برگشت پالپ (Irreversible Pulpitis) است. در این حالت، عصب دندان به شدت آسیب دیده و درد ممکن است بدون هیچ محرکی، به خصوص در شب، شروع شود و فرد را از خواب بیدار کند. این درد معمولاً مبهم، عمیق و گاهی ضرباندار است و نیاز به مداخله فوری دندانپزشکی برای انجام درمان ریشه دارد.
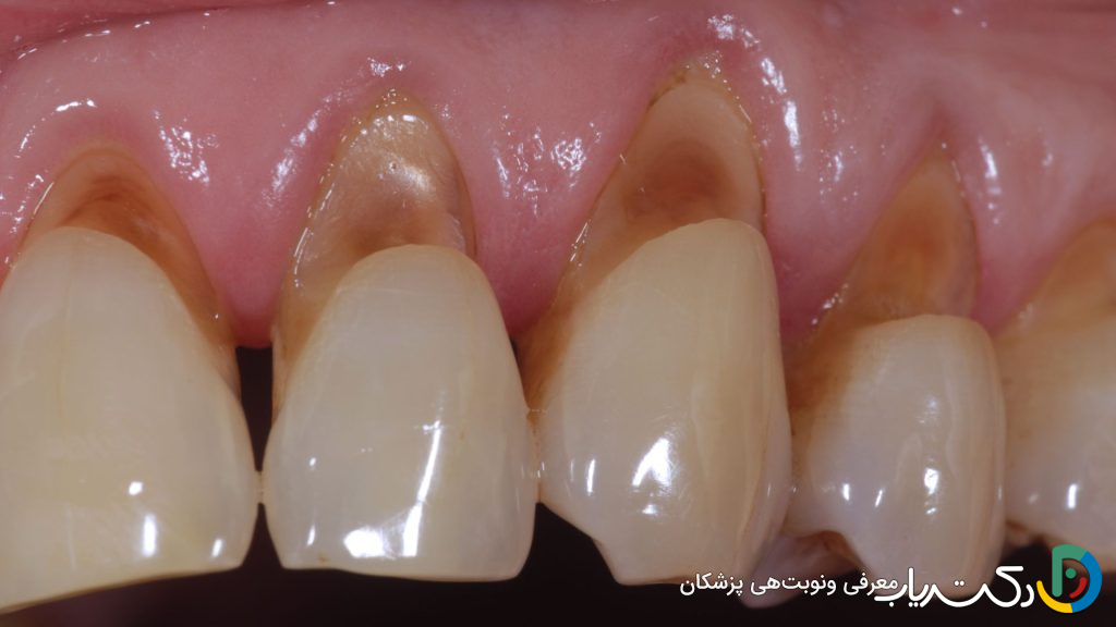
۳. تغییر رنگ حاشیه ترمیم: علامتی بصری و آشکار از نشت میکروبی
یکی از نشانههایی که میتوانید با دقت در آینه مشاهده کنید، تغییر رنگ در محل اتصال ترمیم کامپوزیتی با دندان است. این مرز باید شفاف، نامرئی و یکپارچه باشد.
- ایجاد خط یا لکههای قهوهای و سیاه: این شایعترین علامت بصری است. این خط تیره نتیجه مستقیم نشت میکروبی است. رنگدانههای موجود در مواد غذایی مانند قهوه، چای و نوشابهها به همراه محصولات جانبی باکتریها، در شکاف میکروسکوپی بین دندان و ترمیم نفوذ کرده و باعث ایجاد این رنگگرفتگی دائمی میشوند. این لکه با مسواک زدن پاک نمیشود و نشاندهنده یک نقص در مهر و موم ترمیم است.
- کدر شدن یا مات شدن ترمیم: گاهی خود ماده کامپوزیت که باید شفافیتی شبیه به مینای دندان داشته باشد، به دلیل نفوذ رطوبت و رنگدانهها از زیر، ظاهر کدر و بیروحی پیدا میکند. این تغییر نشان میدهد که پیوند بین دندان و ترمیم ضعیف شده است.
دندانپزشک با استفاده از یک ابزار نوکتیز به نام “سوند”، این حاشیههای رنگگرفته را بررسی میکند. اگر نوک سوند در این ناحیه گیر کند (اصطلاحاً “Catch”)، تشخیص پوسیدگی فعال تأیید میشود.
۴. بافت ناصاف یا لبههای شکسته ترمیم: زوال ساختاری و ایجاد تله پلاک
یک ترمیم کامپوزیتی سالم باید سطحی کاملاً صاف و صیقلی داشته باشد که زبان به راحتی از روی آن عبور کند. هرگونه زبری یا ناهمواری میتواند نشاندهنده شروع تخریب ترمیم باشد.
- احساس زبری یا شیار با زبان: فرسودگی تدریجی مواد کامپوزیتی تحت فشارهای جویدن و مواد شیمیایی موجود در دهان، میتواند باعث ایجاد سطحی متخلخل و ناهموار شود. این سطوح زبر به شدت مستعد تجمع پلاک باکتریایی هستند و تمیز کردن آنها با مسواک تقریباً غیرممکن است. این وضعیت یک چرخه معیوب ایجاد میکند: تجمع پلاک باعث تولید اسید بیشتر و تخریب سریعتر ترمیم میشود.
- لبپر شدن یا شکستگی لبهها: شکستگیهای کوچک یا بزرگ در لبههای ترمیم، که به آن “Chipping” میگویند، مسیرهای مستقیمی برای نفوذ باکتریها به عمق دندان باز میکنند. این شکستگیها اغلب هنگام خوردن غذاهای سفت رخ میدهند و ممکن است احساس یک لبه تیز را در دهان ایجاد کنند که زبان یا گونه را آزار میدهد.
۵. تغییر در وضعیت لثه اطراف ترمیم: واکنش التهابی به عفونت موضعی
سلامت لثه ارتباط مستقیمی با کیفیت ترمیمهای دندانی دارد. لبههای ناصاف یا دارای نشت یک ترمیم، محلی ایدهآل برای تجمع باکتریها هستند و بدن به این تجمع واکنش نشان میدهد.
- قرمزی، تورم و حساسیت لثه: باکتریهای انباشتهشده در حاشیه ترمیم، سمومی تولید میکنند که باعث تحریک بافت لثه میشود. سیستم ایمنی بدن با فرستادن خون بیشتر به این ناحیه برای مبارزه با عفونت، باعث قرمزی و تورم لثه (التهاب لثه یا Gingivitis) میشود.
- خونریزی هنگام مسواک زدن یا نخ دندان کشیدن: لثه ملتهب بسیار شکننده است و با کوچکترین تماسی، مانند مسواک زدن یا استفاده از نخ دندان، به راحتی خونریزی میکند. اگر متوجه شدید که خونریزی لثه شما به طور مداوم فقط در اطراف یک دندان ترمیمشده خاص رخ میدهد، این یک علامت هشدار جدی است که باید توسط دندانپزشک بررسی شود.
۶. بوی بد دهان یا طعم نامطبوع: پیامد پنهان فعالیت باکتریها
اگر با وجود رعایت کامل بهداشت دهان، همچنان از بوی بد دهان (هالیتوزیس) یا طعم ناخوشایند و فلزی در دهان خود شکایت دارید، ممکن است منشأ آن یک پوسیدگی فعال در زیر یکی از ترمیمهای قدیمی شما باشد.
فعالیت باکتریهای بیهوازی در یک محیط بسته و کماکسیژن (مانند فضای زیر یک ترمیم دارای نشت) منجر به تجزیه ذرات غذا و بافت دندان میشود. این فرآیند، ترکیبات گوگردی فرار (VSCs) تولید میکند که عامل اصلی بوی بسیار نامطبوع و زننده دهان هستند. این بو برخلاف بوی دهان ناشی از عدم رعایت بهداشت، پایدار است و با مسواک زدن یا دهانشویه تنها برای مدت کوتاهی پوشانده میشود و به سرعت بازمیگردد.
تشخیص به موقع و پیشگیری: کلید حفظ سلامت دندان برای تمام عمر
شناخت علائم فوق اولین و مهمترین قدم برای محافظت از سرمایهگذاری شما روی سلامت و زیبایی دندانهایتان است. پوسیدگی ثانویه اگر در مراحل اولیه و محدود به حساسیت یا تغییر رنگ جزئی تشخیص داده شود، معمولاً با تعویض ساده ترمیم قابل درمان است. اما بیتوجهی به این علائم، پوسیدگی را به سمت عصب دندان هدایت کرده و شما را با درمانهای پیچیده، زمانبر و گرانقیمت مواجه خواهد کرد.
برای به حداقل رساندن خطر پوسیدگی ثانویه، یک رویکرد پیشگیرانه چندجانبه ضروری است:
- بهداشت بینقص دهان: مسواک زدن با تکنیک صحیح حداقل دو بار در روز و استفاده روزانه از نخ دندان برای تمیز کردن مرزهای بیندندانی ترمیمها، حیاتی است.
- رژیم غذایی هوشمندانه: کاهش مصرف نوشیدنیها و خوراکیهای شیرین و اسیدی، محیط دهان را برای فعالیت باکتریها نامساعد میکند.
- معاینات منظم دندانپزشکی: این مهمترین اصل است. دندانپزشک شما در معاینات دورهای (هر شش ماه یکبار) نه تنها علائم بصری را بررسی میکند، بلکه با تهیه رادیوگرافیهای بایتوینگ (Bitewing X-rays) میتواند پوسیدگیهای ثانویه پنهان در بین دندانها را قبل از بروز هرگونه علامتی، شناسایی و درمان کند.
اگر هر یک از علائم ذکر شده در این راهنما را تجربه میکنید، آن را نادیده نگیرید. در اسرع وقت با دندانپزشک خود مشورت کنید تا از سلامت طولانیمدت دندانهایتان اطمینان حاصل کنید.
لیست پزشکان مرتبط:
- رها رادفردکترا دندانپزشک | تهران
- مریم اخیانیدکترای دندانپزشک | تهران
- محمدرضا زارعدکترا دندانپزشک | تهران
- حمید آهنگریدکترا دندانپزشک | تهران
- بهروز مشهدی رحیمیدکترا دندانپزشک | تهران
- سعید رضاییدکترا دندانپزشک | تهران
- مهدی کریمیجراح و دکترای دندانپزشک زیبایی - ایمپلنت - فلوشیپ زیبایی از دانشگاه Genova ایتالیا- فلوشیپ تخصصی ایمپلنت از ICOI آمریکا - فلوشیپ لیزر از دانشگاه Aachen آلمان | تهران
- آزاده خلجیاندکترای دندانپزشک | تهران
- سمیرا فرنیاجراح و متخصص دندانپزشک | تهران
- پریسا خلیفهجراح و دکترای دندانپزشک | تهران

