در صورت شکستن پیچ داخل ایمپلنت چه باید کرد؟
راهنمای کامل مدیریت و خارج کردن پیچ شکسته داخل ایمپلنت
ایمپلنتهای دندانی به عنوان استاندارد طلایی برای جایگزینی دندانهای از دست رفته شناخته میشوند و با نرخ موفقیت بسیار بالا، لبخند و کیفیت زندگی را به میلیونها نفر بازگرداندهاند. با این حال، مانند هر سیستم مهندسی پیشرفتهای، این ساختارها نیز ممکن است با چالشهای فنی روبرو شوند. یکی از مشکلات نادری که میتواند برای بیماران بسیار نگرانکننده باشد، شکستن پیچ اباتمنت (Abutment Screw) در داخل فیکسچر (پایه) ایمپلنت است. این پیچ، قطعهای کوچک اما از نظر مکانیکی حیاتی است که وظیفه اتصال محکم روکش (تاج دندان) به پایه ایمپلنت کاشته شده در استخوان فک را بر عهده دارد.
اگرچه شنیدن خبر شکستگی پیچ ممکن است استرسزا باشد و آینده ایمپلنت را در ذهن بیمار مبهم سازد، اما خبر خوب این است که این یک عارضه شناختهشده در دندانپزشکی مدرن است. متخصصان ایمپلنت با تکیه بر دانش، تجربه و ابزارهای بسیار دقیق، روشهای مؤثری برای حل این مشکل در اختیار دارند. در این مقاله، به بررسی عمیق و کامل علل شکستگی پیچ، روشهای دقیق تشخیصی، پروتکلهای درمانی گامبهگام و مهمتر از همه، راههای پیشگیری از بروز این مشکل میپردازیم.
قیمت ایمپلنت دندان در تهران (جدول هزینه)
چرا پیچ ایمپلنت دندان میشکند؟ (علل و عوامل خطر)
شکستگی پیچ ایمپلنت تقریباً هرگز یک اتفاق ناگهانی و بدون مقدمه نیست، بلکه اوج یک فرآیند فرسایشی است که در اثر نیروهای بیش از حد یا مشکلات فنی در طول زمان رخ میدهد. درک عمیق این دلایل، کلید اصلی برای درمان موفق و پیشگیری از تکرار آن است.
- بارگذاری بیش از حد (Overloading): این شایعترین علت است و زمانی رخ میدهد که فشارهای وارد بر روکش، فراتر از آستانه تحمل مکانیکی پیچ باشد.
- دندان قروچه (براکسیسم): این عادت ناخودآگاه، نیروهای افقی و سایشی بسیار مخربی را به سیستم ایمپلنت وارد میکند. ایمپلنتها برای تحمل نیروهای عمودی (هنگام جویدن عادی) طراحی شدهاند، اما نیروهای جانبی ناشی از دندان قروچه، تنش را به شدت در ناحیه گردن ایمپلنت و پیچ متمرکز میکند و باعث خستگی فلز (Fatigue Failure) میشود.
- نبود لیگامان پریودنتال (PDL): دندانهای طبیعی توسط بافتی به نام لیگامان پریودنتال احاطه شدهاند که مانند یک کمکفنر طبیعی عمل کرده و فشارهای اضافی را جذب میکند. ایمپلنتها این بافت را ندارند و مستقیماً به استخوان جوش میخورند، بنابراین تمام نیروهای وارده بدون هیچ ضربهگیری به پیچ و استخوان منتقل میشود.
- پیشتنیدگی نامناسب پیچ (Incorrect Torque): هر پیچ ایمپلنت برای عملکرد صحیح، باید با نیروی گشتاور (Torque) مشخصی که توسط شرکت سازنده تعیین شده، سفت شود. این نیرو باعث کشیدگی جزئی و الاستیک در بدنه پیچ شده و یک “نیروی گیرایی” (Clamping Force) قوی ایجاد میکند که اباتمنت را به ایمپلنت میچسباند.
- گشتاور کمتر از حد استاندارد (Under-torquing): اگر پیچ به اندازه کافی سفت نشود، نیروی گیرایی ضعیف خواهد بود. این امر منجر به ایجاد حرکات بسیار ریز (Micro-movements) بین قطعات هنگام جویدن میشود. این حرکات به مرور زمان باعث شل شدن بیشتر پیچ، سایش و در نهایت شکستگی ناشی از خستگی میشوند.
- گشتاور بیش از حد استاندارد (Over-torquing): سفت کردن بیش از حد، پیچ را از محدوده کشسانی خود فراتر برده و وارد ناحیه تغییر شکل دائمی (Plastic Deformation) میکند. این کار ساختار مولکولی فلز را تضعیف کرده و آن را شکننده میسازد، به طوری که ممکن است حتی تحت نیروهای عادی جویدن نیز بشکند.
- طراحی نامناسب پروتز یا اباتمنت: یک پروتز (روکش) که به درستی طراحی نشده باشد، میتواند نیروها را به شکل نامتوازنی توزیع کند. برای مثال، شیبهای بیش از حد تند روی سطح جونده روکش یا تماسهای اکلوزال نامناسب با دندان مقابل، تمام فشار جویدن را روی یک نقطه خاص متمرکز کرده و مانند یک اهرم، تنش را بر روی پیچ افزایش میدهد.
- استفاده از قطعات بیکیفیت یا غیراصلی: شرکتهای معتبر سازنده ایمپلنت، سرمایهگذاری هنگفتی در مهندسی و علم مواد برای تولید قطعات خود میکنند. پیچهای اصلی از آلیاژهای تیتانیوم خاص با مقاومت بالا در برابر خستگی ساخته شدهاند. استفاده از قطعات کپی یا ارزانقیمت که فاقد این استانداردها هستند و “تطابق غیرفعال” (Passive Fit) کاملی با ایمپلنت ندارند، میتواند باعث ایجاد نقاط تمرکز تنش و شکست زودهنگام شود.
تشخیص اولیه: اولین قدم برای حل مشکل پیچ شکسته
اولین و مهمترین قدم پس از مشاهده علائمی مانند لقی روکش، مراجعه فوری به دندانپزشک متخصص ایمپلنت است. تشخیص دقیق، سنگ بنای یک طرح درمان موفق است. دندانپزشک با ترکیبی از معاینات بالینی و رادیوگرافی، وضعیت را به دقت ارزیابی میکند.
- تأیید شکستگی و ارزیابی علائم: بیمار ممکن است لقی روکش، مشکل در جویدن، یا حتی طعم و بوی نامطبوع (ناشی از نفوذ باکتریها به شکاف ایجاد شده) را گزارش دهد. دندانپزشک با بررسی بالینی، میزان لقی را مشخص میکند.
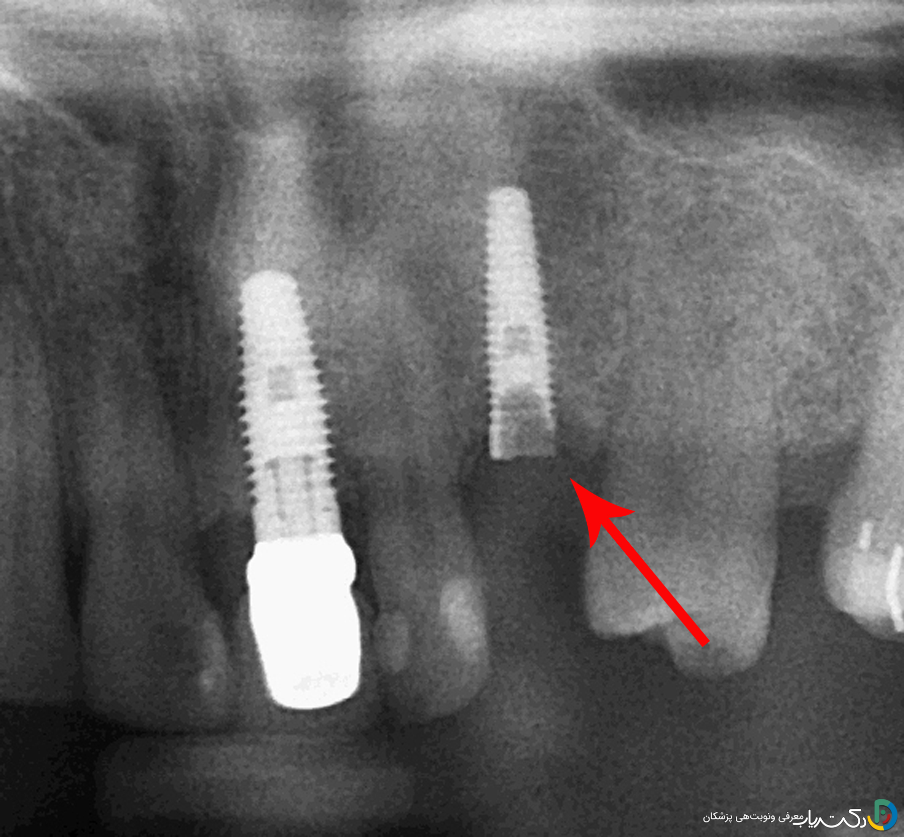
- تعیین دقیق محل شکستگی با رادیوگرافی: یک عکس رادیوگرافی باکیفیت (معمولاً از نوع پریاپیکال) اطلاعات حیاتی زیر را در اختیار دندانپزشک قرار میدهد:
- عمق شکستگی: آیا قطعه شکسته در سطح و قابل دسترس است یا در عمق کانال داخلی ایمپلنت قرار دارد؟
- سلامت رزوههای داخلی ایمپلنت: آیا در اثر شکستگی، به رزوههای داخلی فیکسچر آسیبی وارد شده است یا خیر؟
- وضعیت استخوان اطراف: بررسی سلامت استخوان مجاور ایمپلنت برای اطمینان از عدم وجود تحلیل استخوان.
این اطلاعات به دندانپزشک کمک میکند تا بهترین و کمتهاجمیترین روش را برای خارج کردن پیچ انتخاب کند.
روشهای تخصصی خارج کردن پیچ شکسته ایمپلنت
بسته به عمق شکستگی و شرایط، دندانپزشک از یکی از روشهای زیر یا ترکیبی از آنها استفاده میکند. هدف اصلی در تمام این روشها، خارج کردن قطعه شکسته بدون وارد کردن کوچکترین آسیب به رزوههای گرانبهای داخلی ایمپلنت است.
روش اول: استفاده از ابزارهای دستی ساده (Probe/Explorer)
این روش، اولین انتخاب در مواردی است که سرِ قطعه شکسته در قسمت بالایی کانال ایمپلنت قرار داشته و قابل مشاهده باشد. دندانپزشک با استفاده از یک ابزار بسیار ظریف و نوکتیز (مانند یک اکسپلورر یا اسکیلر جدید)، با دقت و حوصله فراوان تلاش میکند تا لبهای از پیچ را گرفته و با چرخاندن آن در جهت پادساعتگرد، آن را به تدریج شل و خارج کند. این تکنیک نیازمند مهارت و حس لامسه بالایی است.
روش دوم: دستگاه اولتراسونیک و میکروسکوپ
در مواردی که پیچ کمی عمیقتر است یا با روش دستی خارج نمیشود، دستگاه اولتراسونیک به کار گرفته میشود. در این تکنیک، یک نوک فلزی بسیار نازک که با فرکانس بالا (۲۰,۰۰۰ تا ۳۰,۰۰۰ بار در ثانیه) میلرزد، به آرامی در تماس با لبه قطعه شکسته قرار میگیرد. این لرزشهای کنترلشده، اصطکاک بین پیچ و دیواره داخلی ایمپلنت را از بین برده و آن را به چرخش در جهت معکوس وادار میکند. برای به حداکثر رساندن دقت و جلوگیری از آسیب، این فرآیند تقریباً همیشه زیر میکروسکوپ دندانپزشکی انجام میشود. میکروسکوپ با فراهم آوردن بزرگنمایی و نورپردازی فوقالعاده، به دندانپزشک اجازه میدهد تا با دید کامل، نوک اولتراسونیک را فقط روی پیچ قرار دهد و از هرگونه تماس با رزوههای داخلی ایمپلنت اجتناب کند.
روش سوم: کیتهای تخصصی (Drilling & Retrieval Kits)
این روش تهاجمیترین و آخرین راهحل برای پیچهایی است که در عمق زیاد شکستهاند. شرکتهای سازنده ایمپلنت، کیتهای ویژهای برای این منظور طراحی کردهاند که شامل ابزارهای بسیار دقیق و هماهنگ با سیستم ایمپلنتی همان شرکت است. فرآیند معمولاً شامل مراحل زیر است:
- استفاده از راهنمای دریل (Drill Guide): یک قطعه راهنما که کاملاً منطبق بر ورودی ایمپلنت است، روی آن قرار میگیرد. این راهنما تضمین میکند که دریل بعدی دقیقاً در مرکز پیچ قرار گیرد.
- ایجاد حفره راهنما با دریل معکوس (Reverse Drill): یک دریل بسیار ریز که در جهت پادساعتگرد میچرخد، برای ایجاد یک حفره کوچک در مرکز قطعه شکسته استفاده میشود. گاهی اوقات، خودِ این عمل باعث گیر کردن دریل به پیچ و خارج شدن آن میشود.
- بهکارگیری ابزار بازیابی (Screw Remover/Retrieval Tap): اگر پیچ هنوز خارج نشده باشد، ابزاری با رزوههای معکوس (مانند قلاویز چپگرد) وارد حفره ایجاد شده میشود. با چرخاندن این ابزار در جهت پادساعتگرد، رزوههای آن در قطعه شکسته قفل شده و آن را به سمت بیرون هدایت میکند.
پس از خارج کردن پیچ شکسته: ترمیم نهایی و مراقبت
موفقیت در خارج کردن قطعه شکسته، پایان کار نیست. اکنون باید از سلامت کامل سیستم اطمینان حاصل کرده و پروتز را به شکل صحیح بازسازی کرد.
- تمیز کردن و بررسی دقیق رزوهها: کانال داخلی ایمپلنت با دقت شستشو داده میشود تا هرگونه براده فلزی خارج شود. سپس دندانپزشک با یک پیچ آزمایشی، سلامت و یکپارچگی رزوههای داخلی را بررسی میکند. اگر رزوهها آسیب جزئی دیده باشند، ممکن است با ابزاری به نام Thread Tap به آرامی ترمیم شوند. اما آسیب جدی به رزوهها میتواند به معنای شکست درمان ایمپلنت باشد.
- جایگزینی با پیچ جدید و اصلی: یک پیچ اباتمنت کاملاً جدید و اصلی متعلق به همان سیستم ایمپلنت استفاده میشود. استفاده مجدد از پیچ قدیمی یا استفاده از پیچ غیراصلی مطلقاً ممنوع است. این پیچ جدید با استفاده از یک آچار ترکمتر کالیبرهشده، با گشتاور دقیق و توصیهشده توسط کارخانه سازنده سفت میشود.
- نصب مجدد روکش و تنظیم دقیق اکلوزال: روکش دندان مجدداً نصب شده و دندانپزشک با استفاده از کاغذهای مخصوص (آرتیکولیتینگ)، تماس آن با دندانهای مقابل را در حالتهای مختلف جویدن بررسی و تنظیم میکند. هدف، توزیع یکنواخت نیروها و حذف هرگونه تماس زودرس یا مخرب است.
نکات کلیدی برای پیشگیری از شکستن پیچ ایمپلنت
پیشگیری همیشه سادهتر، کمهزینهتر و بهتر از درمان است. با رعایت نکات زیر، میتوانید طول عمر ایمپلنت و قطعات آن را به حداکثر برسانید:
- معاینات دورهای منظم: مراجعه هر ۶ ماه یکبار به دندانپزشک برای بررسی وضعیت ایمپلنت، کنترل بهداشت و چک کردن سفتی پیچ ضروری است. یک پیچ شلشده اگر به موقع تشخیص داده شود، با یک سفت کردن ساده از شکستگی در آینده نجات پیدا میکند.
- مدیریت دندان قروچه: اگر به براکسیسم مبتلا هستید، استفاده منظم از محافظ شبانه (Night Guard) که توسط دندانپزشک ساخته میشود، حیاتی است. این وسیله با ایجاد یک لایه نرم، نیروهای مخرب را جذب و توزیع کرده و از ایمپلنت و دندانهای طبیعی شما محافظت میکند.
- انتخاب متخصص باتجربه و قطعات اصلی: اطمینان حاصل کنید که تمام مراحل درمان شما توسط یک متخصص ایمپلنت باتجربه و با استفاده از قطعات اصلی و باکیفیت انجام میشود.
- گزارش فوری مشکلات: هرگونه احساس لقی، تغییر در جویدن یا صدای غیرعادی از سمت ایمپلنت را جدی بگیرید. اینها میتوانند چراغهای هشدار اولیهای باشند که نادیده گرفتن آنها منجر به مشکلات بزرگتری مانند شکستگی پیچ میشود.
در نهایت، شکستگی پیچ ایمپلنت اگرچه یک مشکل جدی است، اما با دانش و تکنولوژی امروز دندانپزشکی کاملاً قابل مدیریت است. مهمترین اقدام از سوی شما به عنوان بیمار، حفظ آرامش، عدم دستکاری و مراجعه به موقع به متخصص ایمپلنت برای دریافت درمان صحیح و اصولی است.
لیست پزشکان مرتبط:
- رها رادفردکترا دندانپزشک | تهران
- مریم اخیانیدکترای دندانپزشک | تهران
- محمدرضا زارعدکترا دندانپزشک | تهران
- حمید آهنگریدکترا دندانپزشک | تهران
- بهروز مشهدی رحیمیدکترا دندانپزشک | تهران
- محمدمهدی حائری اسدیدکترا دندانپزشک | تهران
- مهدی کریمیجراح و دکترای دندانپزشک زیبایی - ایمپلنت - فلوشیپ زیبایی از دانشگاه Genova ایتالیا- فلوشیپ تخصصی ایمپلنت از ICOI آمریکا - فلوشیپ لیزر از دانشگاه Aachen آلمان | تهران
- آزاده خلجیاندکترای دندانپزشک | تهران
- سمیرا فرنیاجراح و متخصص دندانپزشک | تهران
- مرجان مشاطاندکترا دندانپزشک | تهران