آیا کامپوزیت قابل برداشتن ریموو است؟

قابلیت برداشتن کامپوزیتهای دندانی: راهنمای جامع و کاربردی
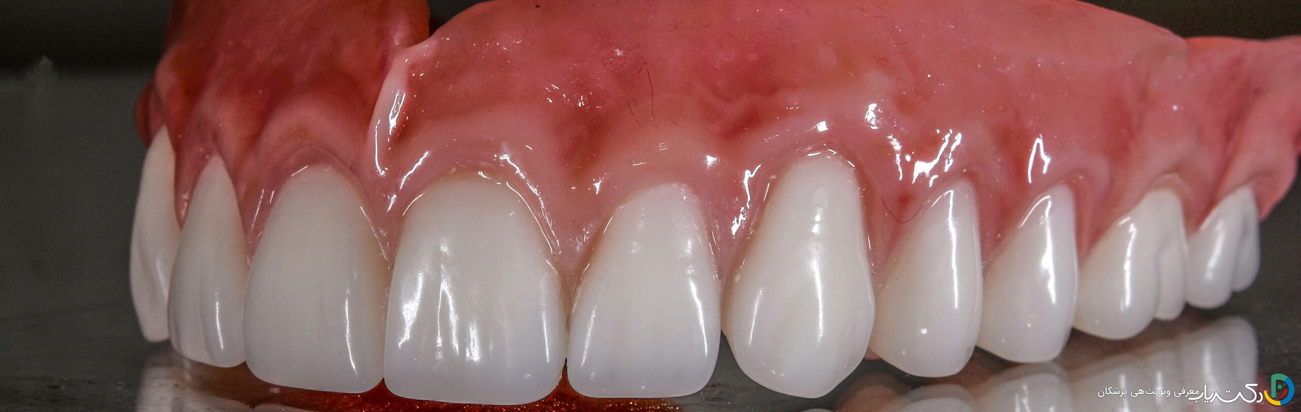
کامپوزیتهای دندانی (Dental Composites)، از جمله روشهای محبوب برای ترمیم و زیبایی دندانها هستند که به دلیل شباهت به رنگ طبیعی دندان و نتایج فوری مورد توجه قرار گرفتهاند. یکی از بزرگترین مزایای این روش، قابلیت برداشتن کامپوزیت است که برخلاف روشهای دائمیتر مانند ونیرهای سرامیکی، امکان بازگشت به حالت اولیه دندان را فراهم میآورد. این ویژگی، انعطافپذیری بالایی به بیمار میدهد تا در آینده بتواند ظاهر لبخند خود را تغییر داده یا مجدداً ترمیم کند. این مقاله به طور کامل به بررسی مفهوم قابلیت برداشتن کامپوزیتهای رزینی، مراحل دقیق این فرایند در کلینیک دندانپزشکی، ابزارهای مورد استفاده و نکات مهم پس از آن میپردازد. اگر به دنبال اطلاعاتی درباره ترمیم دندانهای خود با کامپوزیت هستید، یا میخواهید بدانید در صورت تغییر نظر، چه گزینههایی پیش رو دارید، این راهنما برای شماست.
قیمت کامپوزیت دندان در تهران (جدول هزینه)
چرا کامپوزیت قابل برداشتن است؟ مزایای ونیر کامپوزیت رزینی
مهمترین دلیلی که کامپوزیتهای دندانی به راحتی قابل برداشتن هستند، در نحوه اتصال آنها به دندان نهفته است. در این روش، بر خلاف ونیرهای پرسلن که نیاز به تراشیدن مقداری از مینای دندان دارند، هیچگونه برداشتن غیرضروری از ساختار مینای دندان صورت نمیگیرد. در عوض، دندانپزشک تنها سطح دندان را با یک اسید ملایم خراش میدهد (Etching). این فرایند ریز-تخلخلهایی (micro-porosities) در سطح مینا ایجاد میکند که باعث میشود ماده رزینی کامپوزیت به صورت مکانیکی و شیمیایی به دندان متصل شود. این نوع اتصال، که به “باندینگ” معروف است، برخلاف اتصال ونیرهای پرسلن که نیازمند کاهش حجم دندان است، ماهیت برگشتپذیری را برای کامپوزیت فراهم میکند.
به همین دلیل، پس از سابیدن کامپوزیت با فرزهای مخصوص و دیسکهای پرداخت، مینای دندان زیرین به صورت سالم و دستنخورده باقی میماند. این فرایند به دندانپزشک اجازه میدهد تا کامپوزیت را به صورت کامل و بدون آسیب رساندن به دندان، از روی آن جدا کند. این ویژگی، کامپوزیت را به انتخابی ایدهآل برای افرادی تبدیل میکند که به دنبال یک راهحل موقتی یا قابل برگشت برای بهبود ظاهر لبخند خود هستند. این انعطافپذیری، استرس و نگرانی ناشی از یک تصمیم دائمی را از بین میبرد و به بیمار این امکان را میدهد که با خیال راحتتری تغییرات ظاهری را تجربه کند.
مراحل برداشتن کامپوزیت دندان و ابزارهای مورد نیاز
برداشتن کامپوزیت رزینی یک فرایند دقیق است که باید توسط دندانپزشک با دقت کامل انجام شود تا از آسیب به مینای دندان جلوگیری گردد. این فرایند شامل سه مرحله اصلی است که در ادامه به آنها اشاره شده است:
۱. بیحسی موضعی (در صورت نیاز)
برای افزایش راحتی بیمار و جلوگیری از هرگونه احساس درد یا ناراحتی، دندانپزشک ممکن است از بیحسی موضعی در ناحیه مورد نظر استفاده کند. اگرچه فرایند برداشتن کامپوزیت معمولاً دردناک نیست، اما اصطکاک ناشی از فرزها و دیسکها میتواند باعث ایجاد حساسیت موقت در دندان شود. بیحسی این ناراحتی را به طور کامل از بین برده و به دندانپزشک امکان میدهد تا با آرامش بیشتری کار خود را انجام دهد.
۲. برداشتن ماده رزینی کامپوزیت
در این مرحله، دندانپزشک با دقت کامل، لایه کامپوزیت را از روی دندان جدا میکند. این کار به دو بخش تقسیم میشود:
- استفاده از فرزهای الماسه یا کاربیدی ظریف: ابتدا با فرزهای الماسه (Diamond burs) یا کاربیدی (Carbide burs) با سرعت بالا، حجم اصلی ماده کامپوزیت برداشته میشود. دندانپزشک در این مرحله به کمک رنگ کاملاً متفاوت مینای طبیعی دندان و کامپوزیت، با دقت مرز بین این دو را تشخیص میدهد تا از برداشتن بیش از حد جلوگیری کند. فرزهای الماسه برای برداشتن سریعتر حجم بزرگ کامپوزیت استفاده میشوند، در حالی که فرزهای کاربیدی برای نزدیک شدن به سطح مینا و انجام کار دقیقتر مناسبتر هستند.
- تکمیل با دیسکهای پرداخت: پس از برداشتن بخش عمده، از دیسکهای پرداخت (Sandpaper Disks) با زبریهای مختلف برای حذف باقیماندههای کوچک و دستیابی به یک سطح صاف استفاده میشود. این دیسکها با نرمی بیشتر، آخرین ذرات کامپوزیت را پاک کرده و سطح دندان را برای مرحله نهایی آماده میکنند.
۳. پولیشینگ و صیقلدهی نهایی
پس از اطمینان از حذف کامل کامپوزیت، سطح دندان با دیسکها یا برسهای پولیش مخصوص صیقل داده میشود. این کار نه تنها سطح دندان را کاملاً صاف میکند، بلکه درخشندگی و صافی طبیعی مینای دندان را بازیابی کرده و ظاهر اولیه و سالم دندان را نمایان میسازد. این مرحله برای اطمینان از اینکه دندان پس از برداشتن کامپوزیت کاملاً سالم و زیبا به نظر میرسد، ضروری است.
ابزارهای اصلی در فرآیند برداشتن ونیر کامپوزیت
| ابزار | کاربرد |
|---|---|
| فرز الماسه (Diamond bur) | برداشتن سریع و مؤثر بخش عمده رزین |
| فرز کاربیدی (Carbide bur) | حذف دقیقتر رزین با حداقل استفاده از فشار |
| دیسکهای پرداخت (Sandpaper disks) | پالایش و حذف کامل ذرات ریز رزین، صیقل نهایی |
| میکرو-اتشر (Micro-etcher) | مرحله تکمیلی برای حذف نهایی و پرداخت دقیقتر |
نکات مهم پیش و پس از برداشتن کامپوزیت
- حفظ مینای دندان: هدف اصلی در تمام مراحل فرایند، به حداقل رساندن آسیب به ساختار دندانی است. به همین دلیل، دندانپزشک با دقت فراوان و با استفاده از ابزارهای مناسب، این کار را انجام میدهد. استفاده از نور و بزرگنماییهای دندانپزشکی (مانند لوپها) به دندانپزشک کمک میکند تا با دقت بیشتری مرز بین کامپوزیت و مینای طبیعی را تشخیص دهد و از برداشتن بافت سالم دندان جلوگیری کند.
- حساسیت موقت دندان: ممکن است بیمار پس از برداشتن کامپوزیت، حساسیت خفیفی نسبت به سرما یا گرما تجربه کند که معمولاً موقتی است. این حساسیت به دلیل در معرض قرار گرفتن دوباره سطح مینای دندان و امکان باز شدن جزئی توبولهای عاجی است. برای کاهش این حساسیت، استفاده از خمیردندانهای ضدحساسیت توصیه میشود و معمولاً پس از چند روز به طور کامل برطرف خواهد شد.
- گزینههای درمانی بعدی: پس از برداشتن کامل کامپوزیت، بیمار میتواند وضعیت دندانهای خود را بررسی کرده و در صورت تمایل به اصلاح یا جایگزینی ظاهر، با مشورت دندانپزشک از گزینههای دیگر مانند کامپوزیت جدید، لمینت (Porcelain Veneers) یا سایر درمانهای زیبایی استفاده کند. انتخاب مجدد کامپوزیت میتواند برای تغییر شکل یا رنگ جزئی دندانها باشد، در حالی که لمینتهای پرسلن راهحلی بادوامتر و دائمیتر برای تغییرات اساسیتر هستند.
جمعبندی نهایی در مورد قابلیت برداشتن کامپوزیت و آینده لبخند شما
در نهایت، قابلیت برداشتن کامل و ایمن کامپوزیت، آن را به یک راهحل انعطافپذیر و جذاب برای بهبود زیبایی دندانها تبدیل کرده است. این ویژگی به شما اطمینان میدهد که میتوانید بدون نگرانی از آسیب دائمی به دندانها، ظاهر لبخند خود را تغییر دهید و در صورت نیاز، به حالت اولیه بازگردید یا گزینههای دیگری را امتحان کنید. این انعطافپذیری، کامپوزیت را به انتخابی ایدهآل برای افرادی تبدیل کرده که به دنبال یک تعهد کمتر در فرایندهای زیبایی دندان هستند. برای دریافت مشاوره تخصصی و بررسی بهترین گزینه برای دندانهای خود، اکیداً توصیه میشود با یک دندانپزشک زیبایی مجرب مشورت کنید. یک متخصص میتواند با دقت شرایط شما را ارزیابی کرده و به شما کمک کند تا تصمیمی آگاهانه برای داشتن لبخندی زیبا و سالم بگیرید.
لیست پزشکان مرتبط:
- رها رادفردکترا دندانپزشک | تهران
- مریم اخیانیدکترای دندانپزشک | تهران
- محمدرضا زارعدکترا دندانپزشک | تهران
- حمید آهنگریدکترا دندانپزشک | تهران
- بهروز مشهدی رحیمیدکترا دندانپزشک | تهران
- سعید رضاییدکترا دندانپزشک | تهران
- مهدی کریمیجراح و دکترای دندانپزشک زیبایی - ایمپلنت - فلوشیپ زیبایی از دانشگاه Genova ایتالیا- فلوشیپ تخصصی ایمپلنت از ICOI آمریکا - فلوشیپ لیزر از دانشگاه Aachen آلمان | تهران
- آزاده خلجیاندکترای دندانپزشک | تهران
- سمیرا فرنیاجراح و متخصص دندانپزشک | تهران
- پریسا خلیفهجراح و دکترای دندانپزشک | تهران

