آیا کامپوزیت دندان آسیب نمی بیند؟
آیا کامپوزیت به دندانهای طبیعی آسیب میرساند؟ یک تحلیل جامع
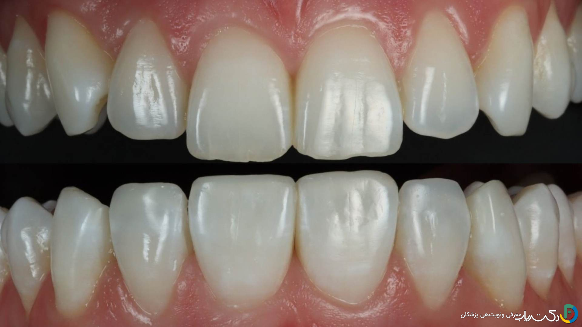
کامپوزیت دندان به عنوان یکی از رایجترین و محبوبترین روشهای زیبایی در دندانپزشکی مدرن، لبخند بسیاری را متحول کرده است. با این حال، یک نگرانی طبیعی و مهم در میان متقاضیان این روش وجود دارد: آیا این لایه زیبا ممکن است در بلندمدت به ساختار دندانهای طبیعی آسیب برساند؟ پاسخ کوتاه و اطمینانبخش این است که خیر، کامپوزیت دندان اگر توسط دندانپزشک متخصص و با استفاده از مواد باکیفیت و تکنیکهای صحیح انجام شود، نه تنها هیچ آسیبی به دندانها وارد نمیکند، بلکه میتواند به عنوان یک لایه محافظ، به سلامت آنها نیز کمک کند.
قیمت کامپوزیت دندان در تهران (جدول هزینه )
در این تحلیل جامع، به بررسی دقیق تمام جنبههای این موضوع میپردازیم تا هرگونه ابهام را برطرف کنیم.
۱. حفاظت از مینای دندان: یک روش کاملاً غیرتهاجمی
بزرگترین و مهمترین مزیت ونیر کامپوزیت که آن را از بسیاری روشهای دیگر متمایز میکند، عدم نیاز به تراشیدن مینای دندان است.
- حفظ ساختار ارزشمند دندان: مینای دندان، خارجیترین و سختترین لایه محافظ دندان است. این بافت به دلیل نداشتن سلول زنده، در صورت تراشیده شدن یا آسیب دیدن، هرگز قابلیت بازسازی طبیعی خود را ندارد. در روشهای سنتیتر مانند لمینتهای سرامیکی، دندانپزشک مجبور است برای ایجاد فضا و چسبندگی بهتر، بخشی از مینا را (گاهی تا ۰.۵ میلیمتر) بتراشد. اما در روش کامپوزیت، مواد مستقیماً روی سطح دندان قرار میگیرند و این نیاز به تراش را به طور کامل از بین میبرد. این ویژگی، کامپوزیت را به یک روش ایدهآل برای اصلاحات جزئی، بستن فواصل و درمانهای زیبایی در بیماران جوان تبدیل میکند.
- قابلیت برگشتپذیری کامل: از آنجایی که هیچ تغییری در ساختار اصلی دندان ایجاد نمیشود، این روش کاملاً برگشتپذیر است. این بدان معناست که اگر فردی پس از مدتی به هر دلیلی تصمیم به برداشتن کامپوزیت بگیرد، دندانهای طبیعی او دقیقاً به همان شکل اولیه و بدون هیچ آسیبی باقی ماندهاند. این یک مزیت روانشناختی بزرگ برای بیمارانی است که نگران تغییرات دائمی در دندانهای خود هستند.
۲. ایمنی مواد تشکیلدهنده کامپوزیت
مواد کامپوزیت (رزینها) از نظر بیولوژیکی کاملاً با محیط دهان سازگار بوده و به عنوان موادی بیخطر شناخته میشوند.
- سازگاری بیولوژیکی بالا: رزینهای کامپوزیتی مدرن برای تماس طولانیمدت با بافتهای زنده دهان (لثه، زبان و مخاط) طراحی شدهاند. این مواد پس از سخت شدن توسط نور مخصوص (پلیمریزاسیون)، به یک توده جامد و شیمیایی خنثی تبدیل میشوند که هیچ واکنش آلرژیک یا عوارض سمی قابل توجهی ایجاد نمیکند. نگرانیهایی که در گذشته در مورد برخی مواد دندانپزشکی مانند آمالگام (به دلیل وجود جیوه) وجود داشت، در مورد کامپوزیتهای امروزی صدق نمیکند.
- ترکیبات بیاثر و ایمن: رزین کامپوزیت از چندین جزء تشکیل شده است: یک ماتریس رزینی، ذرات پرکننده (فیلر) شیشهای یا سرامیکی برای ایجاد استحکام، و یک عامل اتصالدهنده. این ترکیبات در حالت پلیمریزه شده تقریباً بیاثر هستند و خطری برای سلامت عمومی فرد ندارند. حتی در مورد نگرانیهای مربوط به وجود مقادیر بسیار ناچیز BPA در برخی رزینها، تحقیقات گسترده نشان داده است که میزان آن بسیار کمتر از آستانه خطر است و بسیاری از کامپوزیتهای مدرن کاملاً فاقد BPA هستند.
۳. کامپوزیت و ارتباط آن با پوسیدگی دندان
یک تصور اشتباه رایج این است که کامپوزیت ممکن است باعث پوسیدگی دندان شود یا آن را تسریع کند. این باور کاملاً نادرست است.
- عدم ایجاد پوسیدگی: کامپوزیت به خودی خود هیچ نقشی در ایجاد پوسیدگی ندارد. در حقیقت، این لایه میتواند به عنوان یک سد محافظ فیزیکی عمل کرده و از تماس مستقیم مواد قندی و باکتریهای پوسیدگیزا با سطح مینا جلوگیری کند. پوسیدگی همیشه نتیجه فعالیت باکتریها و اسید تولید شده توسط آنهاست، نه مواد ترمیمی.
- اهمیت حیاتی بهداشت: دلیل اصلی پوسیدگی در دندانهای کامپوزیت شده، عدم رعایت بهداشت دهان و دندان است. اگر پلاکهای میکروبی در حاشیه کامپوزیت (محل اتصال آن به دندان) یا در نواحی بین دندانی تجمع پیدا کنند، میتوانند باعث پوسیدگی دندان زیرین شوند. بنابراین، مسواک زدن دقیق، استفاده منظم از نخ دندان و دهانشویههای ضدعفونیکننده پس از انجام کامپوزیت، نه تنها مهم، بلکه حیاتی است. مهارت دندانپزشک در ایجاد یک لبه صاف و بدون درز نیز در جلوگیری از تجمع پلاک نقش کلیدی دارد.
۴. نقش حفاظتی و تقویتی کامپوزیت
علاوه بر جنبه زیبایی، کامپوزیت میتواند به طور فعال به تقویت و حفاظت از دندانها نیز کمک کند.
- افزایش مقاومت ساختاری: لایه کامپوزیت با ایجاد یک پوشش سخت و یکپارچه، دندان را در برابر نیروهای جویدن تقویت میکند. این ویژگی به خصوص برای دندانهایی که دارای ترکهای ریز (craze lines) یا لبپریدگیهای جزئی هستند، مفید است. کامپوزیت با پوشاندن این نواقص، از گسترش آنها و شکستگیهای بزرگتر در آینده جلوگیری میکند.
- کاهش چشمگیر حساسیت: در افرادی که به دلیل تحلیل لثه یا سایش مینا از حساسیت دندانی به سرما و گرما رنج میبرند، کامپوزیت یک راهحل عالی است. این لایه با پوشاندن توبولهای عاجی (لولههای میکروسکوپی که به عصب دندان راه دارند)، مانع از رسیدن محرکهای خارجی به عصب شده و حساسیت را به طور مؤثری کاهش میدهد یا از بین میبرد.
۵. عوارض جانبی احتمالی: نادر و قابل کنترل
مانند هر روش درمانی دیگری، کامپوزیت نیز ممکن است عوارض جانبی محدودی داشته باشد که تقریباً همگی قابل پیشگیری، کنترل و درمان هستند:
- تغییر رنگ: کامپوزیتها به دلیل ماهیت رزینی، نسبت به لمینتهای سرامیکی تخلخل بیشتری دارند و در نتیجه مستعد تغییر رنگ در اثر مصرف زیاد مواد غذایی رنگدانهدار (مانند قهوه، چای، شراب قرمز، زردچوبه) و استعمال دخانیات هستند. این مشکل با رعایت بهداشت و انجام پولیشهای دورهای (معمولاً هر ۶ ماه تا یک سال) توسط دندانپزشک به راحتی برطرف میشود.
- التهاب لثه: این عارضه تقریباً همیشه به دلیل تکنیک نادرست دندانپزشک رخ میدهد. اگر کامپوزیت بیش از حد ضخیم باشد یا لبههای آن به درستی با لثه تطبیق داده نشود، میتواند باعث تجمع پلاک و التهاب لثه شود. انتخاب یک دندانپزشک ماهر و باتجربه که به سلامت بافت نرم به اندازه زیبایی اهمیت میدهد، این خطر را به صفر نزدیک میکند.
- لبپریدگی یا جدا شدن: اگرچه کامپوزیتهای مدرن بسیار مستحکم هستند، اما در اثر عادات نامناسب مانند جویدن یخ، شکستن تخمه، استفاده ابزاری از دندانها یا دندانقروچه (براکسیسم)، ممکن است دچار لبپریدگی شوند. خبر خوب این است که ترمیم کامپوزیت بسیار ساده است و معمولاً در یک جلسه کوتاه توسط دندانپزشک انجام میشود.
نتیجهگیری
کامپوزیت دندان یک روش ایمن، مؤثر، محافظهکارانه و غیرتهاجمی برای اصلاح طرح لبخند است که در صورت اجرای صحیح، هیچ آسیبی به ساختار دندانهای طبیعی وارد نمیکند. این روش با حفظ کامل مینای دندان و ایجاد یک لایه محافظ، نه تنها زیبایی خیرهکنندهای را به ارمغان میآورد، بلکه میتواند به سلامت، استحکام و کاهش حساسیت دندانها نیز کمک کند. موفقیت، زیبایی و دوام طولانیمدت این درمان به سه عامل کلیدی بستگی دارد: مهارت و هنر دندانپزشک، کیفیت مواد مورد استفاده و مهمتر از همه، تعهد بیمار به رعایت دقیق بهداشت دهان و دندان و انجام معاینات دورهای.
لیست پزشکان مرتبط:
- رها رادفردکترا دندانپزشک | تهران
- مریم اخیانیدکترای دندانپزشک | تهران
- محمدرضا زارعدکترا دندانپزشک | تهران
- حمید آهنگریدکترا دندانپزشک | تهران
- بهروز مشهدی رحیمیدکترا دندانپزشک | تهران
- محمدمهدی حائری اسدیدکترا دندانپزشک | تهران
- مهدی کریمیجراح و دکترای دندانپزشک زیبایی - ایمپلنت - فلوشیپ زیبایی از دانشگاه Genova ایتالیا- فلوشیپ تخصصی ایمپلنت از ICOI آمریکا - فلوشیپ لیزر از دانشگاه Aachen آلمان | تهران
- آزاده خلجیاندکترای دندانپزشک | تهران
- سمیرا فرنیاجراح و متخصص دندانپزشک | تهران
- مرجان مشاطاندکترا دندانپزشک | تهران