آیا روکش های PFM باعث سیاهی لثه می شوند؟
روکشهای PFM (Porcelain Fused to Metal) که سالهاست به دلیل استحکام و هزینه مقرونبهصرفه به عنوان یکی از گزینههای درمانی اصلی در دندانپزشکی مورد استفاده قرار میگرفتهاند، همواره با چالشهایی از جمله تغییر رنگ و سیاهی لثه مواجه بودهاند. این پدیده که برای بسیاری از بیماران نگرانکننده است، تنها یک مشکل زیبایی نیست، بلکه میتواند نشاندهنده واکنشهای بیولوژیکی در بافت لثه یا نقص در ساخت و نصب روکش باشد. درک دقیق مکانیسمهای پنهان این تغییر رنگ برای تصمیمگیری آگاهانه درباره انتخاب نوع روکش دندان ضروری است.
در ادامه این مقاله، به بررسی جامعتر و عمیقتری از دلایل اصلی سیاهی لثه، عوامل تشدیدکننده و همچنین راهکارهای نوین دندانپزشکی برای پیشگیری و درمان این مشکل میپردازیم. با توجه به پیشرفتهای اخیر در زمینه مواد دندانپزشکی، گزینههای جایگزین بسیاری برای روکشهای PFM وجود دارد که هم از نظر زیبایی و هم از نظر سلامت بافتهای دهان، برتری قابل توجهی دارند.
قیمت روکش دندان در تهران (جدول هزینه)
بررسی دقیق علل اصلی سیاهی لثه در روکشهای PFM و دندانپزشکی ترمیمی
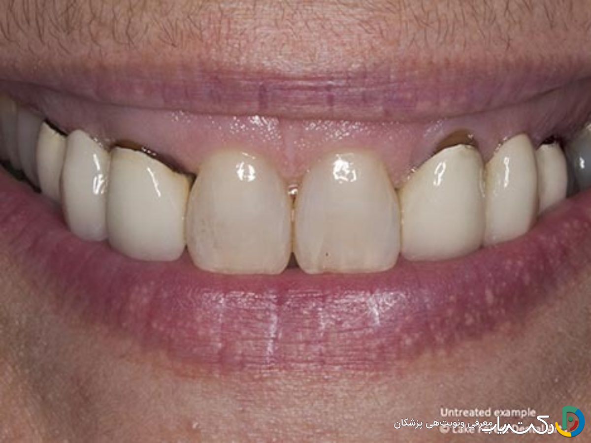
تغییر رنگ لثه در اطراف روکشهای PFM (پورسلن چسبیده به فلز) دلایل مختلفی دارد که هر کدام با مکانیسمهای بیولوژیکی و فیزیکی خاصی در بافتهای دهانی مرتبط هستند. شناسایی دقیق این علل به دندانپزشک کمک میکند تا راهکار درمانی مناسب را برای هر بیمار به صورت اختصاصی انتخاب کند.
- نمایان شدن فلز زیرین (Metal Show-through): این مورد شایعترین و قابل تشخیصترین علت سیاهی لثه است. روکشهای PFM از یک هسته فلزی محکم ساخته شدهاند که با لایهای از پرسلن همرنگ دندان پوشانده میشود. به مرور زمان و در اثر فرایندهایی مانند پسرفت طبیعی لثه که ممکن است با افزایش سن، بیماریهای پریودنتال (لثه)، یا مسواک زدن خشن تسریع شود، بخش فلزی که معمولاً در زیر خط لثه پنهان است، نمایان میشود. این پدیده یک خط تیره و نامطلوب در مرز بین روکش و بافت لثه ایجاد میکند که در دندانهای جلویی به شدت بر زیبایی لبخند تأثیر میگذارد.
- نفوذ یونهای فلزی (Metal Ion Leakage): فلزات موجود در چارچوب روکشهای PFM، به ویژه آلیاژهایی که حاوی نیکل، کبالت و کروم هستند، میتوانند در محیط مرطوب و اسیدی دهان دچار خوردگی شوند. این فرایند الکتروشیمیایی باعث آزاد شدن یونهای فلزی میشود. یونهای فلزی آزاد شده به تدریج به بافت نرم لثه نفوذ کرده و در آنجا تجمع پیدا میکنند. تجمع این یونها باعث ایجاد تغییر رنگ آبی-خاکستری در لثه میشود که به آن “تتوی لثه” یا “تتوی آمالگام” نیز گفته میشود. متاسفانه، این نوع تغییر رنگ معمولاً دائمی است و حذف آن نیازمند برداشتن روکش و گاهی جراحی بافت لثه است.
- واکنشهای التهابی و آلرژیک (Inflammatory & Allergic Reactions): برخی از افراد به فلزات مورد استفاده در روکشهای PFM، به خصوص نیکل، حساسیت دارند. نیکل به عنوان یکی از شایعترین آلرژنهای فلزی شناخته شده است و طبق مطالعات، واکنشهای حساسیتی به آن در حدود 22.8 درصد از جمعیت مشاهده میشود. در فرد حساس، تماس مداوم با فلز نیکل میتواند باعث ایجاد یک پاسخ التهابی مزمن در بافت لثه شود. این التهاب با علائمی همچون قرمزی، تورم، خونریزی لثه و در نهایت تغییر رنگ به سمت تیرگی همراه است. این نوع واکنشها میتوانند به تدریج باعث آسیب به بافت لثه و پسرفت آن شوند.
عوامل تشدیدکننده پسرفت لثه و تغییر رنگ در اطراف روکشها
علاوه بر علل اصلی، چندین عامل دیگر نیز میتوانند به تسریع فرآیند سیاهی لثه و بروز مشکلات ناشی از روکشهای PFM کمک کنند. توجه به این عوامل میتواند در پیشگیری و مدیریت این شرایط مؤثر باشد.
- پسرفت لثه (Gingival Recession): پسرفت لثه، چه به صورت طبیعی با افزایش سن و چه به دلیل عوامل محیطی، یکی از مهمترین دلایل آشکار شدن فلز روکش است. بهداشت ضعیف دهان، عدم استفاده از نخ دندان، مسواک زدن با نیروی زیاد، و استفاده از مسواکهای زبر میتوانند باعث آسیب به لثه و پسرفت آن شوند. بیماریهای لثه مانند ژنژیویت (التهاب لثه) و پریودنتیت (التهاب بافتهای نگهدارنده دندان) نیز به صورت مستقیم باعث تخریب و پسرفت لثه میشوند و زمینه را برای نمایان شدن فلز فراهم میکنند.
- کیفیت ساخت و طراحی روکش: روکشهایی که به درستی طراحی و ساخته نشدهاند، میتوانند مشکلات متعددی ایجاد کنند. اگر مرز روکش (مارژین) به خوبی با سطح دندان منطبق نباشد، یک شکاف کوچک ایجاد میشود که محل مناسبی برای تجمع پلاک و باکتری است. این امر منجر به التهاب مزمن لثه و پسرفت آن میگردد. همچنین، روکشهایی با حاشیههای ضخیم و ناصاف، باعث تحریک مکانیکی لثه و در نتیجه التهاب و تغییر رنگ میشوند. همکاری یک دندانپزشک ماهر و یک لابراتوار دندانپزشکی دقیق، برای ساخت روکشهایی با حاشیه کاملاً دقیق و صاف، حیاتی است.
راهکارهای درمانی و جایگزینهای مدرن برای جلوگیری از سیاهی لثه
با پیشرفتهای گسترده در علم دندانپزشکی ترمیمی و زیبایی، راهکارهای مؤثر و مدرنی برای پیشگیری و درمان سیاهی لثه ناشی از روکشهای فلزی وجود دارد.
- روکشهای تمام سرامیک (بدون فلز): بهترین راهکار برای جلوگیری از تغییر رنگ لثه، استفاده از روکشهای تمام سرامیک است. این روکشها از موادی مانند زیرکونیا (Zirconia) یا لیتیوم دیسیلیکات (مانند E-Max) ساخته میشوند که کاملاً فاقد فلز هستند. این مواد نه تنها خطر نفوذ یونهای فلزی یا واکنشهای آلرژیک را از بین میبرند، بلکه از نظر زیبایی نیز به دلیل شفافیت و قابلیت عبور نور، بسیار به دندان طبیعی شبیه هستند. روکشهای زیرکونیا علاوه بر زیبایی فوقالعاده، از استحکام بسیار بالایی نیز برخوردارند و میتوانند در دندانهای عقبی که تحت فشار بیشتری هستند، به کار روند.
- مواد زیستسازگار (Biocompatible Materials): انتخاب مواد زیستسازگار اولویت اصلی دندانپزشکی نوین است. مواد جدید مانند زیرکونیا، PEEK و سرامیکهای پیشرفته، با بافتهای بدن سازگاری بیولوژیک بالایی دارند و احتمال بروز واکنشهای التهابی یا آلرژیک را به حداقل میرسانند. سطح بسیار صاف زیرکونیا نیز از چسبیدن پلاک و باکتریها جلوگیری میکند و به حفظ سلامت لثه کمک شایانی مینماید.
نکات نهایی درباره مدیریت سیاهی لثه و روکشهای PFM
سیاهی لثه در اطراف روکشهای PFM یک پدیده پیچیده است که میتواند دلایل متعددی داشته باشد. از نمایان شدن تدریجی فلز زیرین تا واکنشهای بیولوژیکی و آلرژیک، عوامل زیادی در بروز این مشکل نقش دارند. برای پیشگیری از این پدیده ناخوشایند، استفاده از روکشهای تمام سرامیک یا زیرکونیا به شدت توصیه میشود. این روکشها علاوه بر زیبایی برتر، بافت لثه را تحریک نمیکنند و سلامت دهان را در بلندمدت تضمین مینمایند.
اگر در حال حاضر روکش PFM دارید و با سیاهی لثه مواجه هستید، ضروری است که با دندانپزشک خود مشورت کنید. دندانپزشک با بررسی دقیق شرایط، علت اصلی مشکل را تشخیص داده و بهترین گزینه درمانی را به شما پیشنهاد میدهد. این راهکار ممکن است شامل تعویض روکش، درمان بیماریهای لثه یا ترکیبی از هر دو باشد. با انتخاب درست و مراقبتهای بهداشتی منظم، میتوانید لبخندی زیبا و سالم داشته باشید.
لیست پزشکان مرتبط:
- رها رادفردکترا دندانپزشک | تهران
- مریم اخیانیدکترای دندانپزشک | تهران
- محمدرضا زارعدکترا دندانپزشک | تهران
- حمید آهنگریدکترا دندانپزشک | تهران
- بهروز مشهدی رحیمیدکترا دندانپزشک | تهران
- محمدمهدی حائری اسدیدکترا دندانپزشک | تهران
- مهدی کریمیجراح و دکترای دندانپزشک زیبایی - ایمپلنت - فلوشیپ زیبایی از دانشگاه Genova ایتالیا- فلوشیپ تخصصی ایمپلنت از ICOI آمریکا - فلوشیپ لیزر از دانشگاه Aachen آلمان | تهران
- آزاده خلجیاندکترای دندانپزشک | تهران
- سمیرا فرنیاجراح و متخصص دندانپزشک | تهران
- مرجان مشاطاندکترا دندانپزشک | تهران