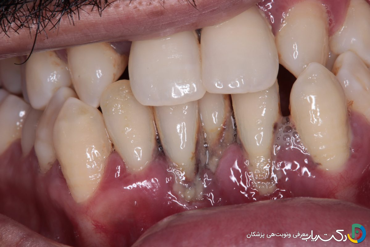
آیا ترمیم دندان برای افرادی که بیماری های لثه دارند مؤثر است؟

اثربخشی ترمیمهای دندانی در بیماران مبتلا به بیماریهای لثه (پریودنتیت)
این یک تصور رایج و یک نگرانی کاملاً بهجاست که آیا سرمایهگذاری برای ترمیمهای دندانی در بیمارانی که سابقه بیماری لثه (پریودنتیت) دارند، میتواند نتایج پایدار و موفقی به همراه داشته باشد. پاسخ قاطع علم دندانپزشکی مدرن، مثبت است. به شرطی که یک رویکرد درمانی جامع اتخاذ شود که در آن درمانهای اولیه و نگهدارنده پریودنتال (شامل کنترل التهاب، جرمگیری عمیق، و آموزش بهداشت دهان) به درستی انجام شده و بیمار به طور منظم تحت پیگیری قرار گیرد. در این صورت، انواع ترمیمها، از پرکردگیهای ساده کامپوزیتی گرفته تا پروتزهای پیچیده و کامل، نه تنها امکانپذیر، بلکه بسیار موفقیتآمیز خواهند بود و میتوانند عملکرد و زیبایی را برای سالیان طولانی به بیمار بازگردانند.
قیمت ترمیم دندان در تهران (جدول هزینه)
۱. پیشنیاز اساسی: کنترل التهاب و درمان نگهدارنده
قبل از هرگونه اقدام ترمیمی، کنترل کامل و پایدار بیماری لثه، سنگ بنای موفقیت است. این فرآیند دو مرحله کلیدی دارد: درمان فعال و درمان نگهدارنده.
- درمان فعال پریودنتال: این مرحله شامل حذف کامل عامل ایجادکننده بیماری یعنی پلاک و جرم از تمام سطوح دندان، به خصوص زیر خط لثه است. این کار از طریق «جرمگیری و تسطیح سطح ریشه» (Scaling and Root Planing) انجام میشود. در موارد پیشرفتهتر، ممکن است جراحیهای لثه برای دسترسی بهتر به ریشهها و اصلاح نقایص استخوانی ضروری باشد. هدف نهایی، رسیدن به یک محیط دهانی بدون التهاب فعال است.
- حمایت نگهدارنده پریودنتال (SPC): پس از اتمام درمان فعال، بیمار وارد مرحله نگهدارنده میشود. این برنامهها که معمولاً هر ۳ تا ۴ ماه یکبار انجام میشوند، برای جلوگیری از بازگشت بیماری حیاتی هستند. در این جلسات، وضعیت لثهها مجدداً ارزیابی، پاکسازی حرفهای انجام، و بهداشت دهان بیمار تقویت میشود.
- مطالعه بر روی ایمپلنتها: اهمیت حیاتی SPC در یک مطالعه طولانیمدت (۲۰ ساله) به وضوح نشان داده شده است. در این مطالعه، نرخ بقای ایمپلنت در بیماران پریودنتیتی که به طور منظم در برنامههای SPC شرکت میکردند، ۹۳٪ بود. این رقم به طرز شگفتانگیزی به نرخ بقای ۹۴.۹٪ در افراد کاملاً سالم نزدیک است و ثابت میکند که با مراقبت صحیح، میتوان ریسک را به حداقل رساند.
- ریسک عدم پایبندی: در مقابل، بیمارانی که برنامههای نگهدارنده را جدی نمیگیرند، در معرض خطر بالایی برای شکست درمان قرار دارند. بازگشت باکتریهای بیماریزا و التهاب مزمن، به تدریج استخوان اطراف ایمپلنتها و دندانهای ترمیمشده را تحلیل برده و در نهایت منجر به از دست رفتن آنها میشود.
۲. ترمیمهای ثابت کامل (Full-Arch Fixed Prostheses)
در بیماران مبتلا به پریودنتیت پیشرفته (مرحله IV)، که اغلب با تحلیل شدید استخوان، لقی دندانها و از دست رفتن چندین دندان همراه است، استفاده از پروتزهای کامل ثابت نتایج بسیار مطلوبی به همراه داشته است. این پروتزها با اتصال دندانهای باقیمانده به یکدیگر یا با اتکا به ایمپلنتها، یک ساختار مستحکم و باثبات ایجاد میکنند.
- پروتزهای متکی بر دندان: این پروتزها با روکش کردن دندانهای باقیمانده و اتصال آنها به هم (اثر اسپلینت)، لقی آنها را کاهش داده و نیروهای جویدن را به طور یکنواخت توزیع میکنند. آمارها نشاندهنده موفقیت بالای این روش هستند:
- نرخ بقا در ۵ سال: ۹۶٪
- نرخ بقا در ۱۰ سال: ۹۳٪
- پروتزهای متکی بر ایمپلنت: اگرچه عوارض فنی (مانند شکستگی جزئی مواد پروتز یا شل شدن پیچها) در این نوع پروتزها کمی شایعتر است، اما این مشکلات معمولاً قابل ترمیم هستند. از نظر بقای کلی ایمپلنتها و عملکرد پروتز، نتایج بسیار نزدیکی به پروتزهای متکی بر دندان دارند و یک راهحل عالی برای بیمارانی هستند که تمام دندانهای خود را از دست دادهاند.
۳. ترمیمهای ثابت جزئی (Partial Fixed Prostheses)
پروتزهای پارسیل ثابت (مانند بریج) بر روی دندانهایی که به دلیل بیماری لثه بخشی از استخوان حمایتکننده خود را از دست دادهاند نیز با موفقیت بالایی همراه است، به شرطی که بیماری لثه کنترل شده باشد.
- نتایج یک گزارش بالینی سهساله: این مطالعه بهبود چشمگیر سلامت لثه را پس از درمان نشان میدهد:
- از مجموع ۹۳ دندان پایه، تنها یک دندان به دلیل شکستگی عمودی ریشه (که ارتباطی با بیماری لثه نداشت) از دست رفت.
- میانگین عمق پاکت لثه (PPD) از ۵.۲ میلیمتر (نشاندهنده بیماری فعال) به ۲.۹ میلیمتر (محدوده سلامت) کاهش یافت. این بهبود نشاندهنده اتصال مجدد بافت لثه به ریشه و حذف پاکتهای عمیق است.
- درصد دندانهایی که هنگام معاینه خونریزی داشتند (یک شاخص کلیدی التهاب) از ۴۲٪ به ۱۲٪ کاهش یافت که بیانگر کنترل موفق التهاب است.
۴. ترمیمهای ثابت دندانپشتیبان (Tooth-Supported Prostheses)
مطالعات متعدد بر روی ترمیمهای ثابت تکی (روکش) و چند واحدی (بریج) در بیماران با سابقه پریودنتیت پیشرفته، نتایج دلگرمکنندهای را نشان میدهد.
- نرخ بقای دندانهای پایه (اباتمنت): در دورههای پیگیری بسیار طولانی (بین ۲ تا ۳۵ سال)، حدود ۹۵.۲٪ از دندانهایی که به عنوان پایه پروتز استفاده شده بودند، با موفقیت در دهان باقی ماندند. این آمار نشان میدهد که دندانهای درمانشده از نظر لثه، پایههای قابل اعتمادی برای ترمیمها هستند.
- نرخ شکست پروتز: نرخ شکست خود پروتزها نیز کمتر از ۷٪ بوده و شاخصهای سلامت لثه در طول زمان پایدار باقی مانده است، که این امر به طراحی صحیح ترمیمها (با لبههای صاف و قابل تمیز کردن) و مراقبتهای منظم بیمار بستگی دارد.
۵. ترمیمهای مستقیم (پرکردگیهای کامپوزیتی)
اصول موفقیت پرکردگیهای کامپوزیتی برای بیماران پریودنتیت نیز مشابه جمعیت عمومی است، اما به دلیل سابقه بیماری، برخی نکات اهمیت دوچندان پیدا میکنند.
- عوامل کلیدی در دوام کامپوزیت:
- عوامل مرتبط با بیمار: کنترل دقیق پلاک با مسواک و نخ دندان برای جلوگیری از پوسیدگی در لبههای ترمیم، و همچنین مدیریت ریسک پوسیدگی از طریق رژیم غذایی کمشکر، از اهمیت بالایی برخوردار است.
- عوامل مرتبط با دندانپزشک: کیفیت تکنیک درمانی بسیار تعیینکننده است. این شامل ایزولاسیون کامل دندان از بزاق حین کار، استفاده از مواد باندینگ با کیفیت، و ایجاد یک ترمیم با لبههای کاملاً صاف و پالیششده است تا از تجمع پلاک جلوگیری شود. قرار دادن لبههای ترمیم در زیر لثه باید با احتیاط فراوان انجام شود، زیرا میتواند باعث التهاب مزمن گردد.
- طول عمر: با رعایت این اصول، نرخ بقای پنجسالهٔ کامپوزیتها به ۷۰ تا ۸۰ درصد میرسد و خود این ترمیمها، در صورتی که به درستی انجام شوند، هیچ خطری برای بافت لثهای که به خوبی کنترل شده، ایجاد نمیکنند.
جمعبندی نهایی
موفقیت و دوام طولانیمدت ترمیمهای دندانی در بیماران مبتلا به بیماریهای لثه، یک هدف کاملاً واقعبینانه و قابل دستیابی است. این موفقیت بر یک پیمان سهجانبه استوار است:
۱. کنترل کامل التهاب: بیماری لثه باید قبل از شروع هر درمان ترمیمی، به طور کامل کنترل و مدیریت شود. ۲. طراحی بیولوژیک و دقیق: ترمیمها باید با حداکثر احترام به بافتهای لثه و اصول بیولوژیک طراحی و ساخته شوند تا به راحتی تمیز شده و باعث تحریک لثه نشوند. ۳. پایبندی و همکاری بیمار: بیمار باید نقش فعال خود را در حفظ بهداشت دهان پذیرفته و به طور منظم در برنامههای نگهداری و چکاپ پریودنتال شرکت کند.
با رعایت این سه اصل، میتوان بر چالشهای ناشی از بیماری لثه غلبه کرد و به یک نتیجه درمانی باثبات، زیبا و کاربردی دست یافت.
لیست پزشکان مرتبط:
- رها رادفردکترا دندانپزشک | تهران
- مریم اخیانیدکترای دندانپزشک | تهران
- محمدرضا زارعدکترا دندانپزشک | تهران
- حمید آهنگریدکترا دندانپزشک | تهران
- سعید رضاییدکترا دندانپزشک | تهران
- سید محسن سادات کچوییدکترا دندانپزشک | تهران
- علیرضا افراشیدکترای حرفه ای/تخصصی جراح دندانپزشک دارای فلوشیپ تخصصی زیبایی از آمریکا و آلمان | تهران
- آزاده خلجیاندکترای دندانپزشک | تهران
- عماد یوسفیدکترا دندانپزشک | تهران
- مهدی کریمیجراح و دکترای دندانپزشک زیبایی - ایمپلنت - فلوشیپ زیبایی از دانشگاه Genova ایتالیا- فلوشیپ تخصصی ایمپلنت از ICOI آمریکا - فلوشیپ لیزر از دانشگاه Aachen آلمان | تهران

