هیدروسفالی چگونه تشخیص داده میشود ؟

هیدروسفالی، که گاهی در زبان عامیانه به آن “آب آوردن مغز” نیز گفته میشود، یک وضعیت پزشکی پیچیده و جدی است که در اثر تجمع بیش از حد مایع مغزی-نخاعی (CSF) در حفرههای عمیق مغز به نام بطنها ایجاد میشود. این تجمع مایع، فشار داخل جمجمه را به سطوح خطرناکی افزایش میدهد که میتواند به بافتهای ظریف و حیاتی مغز آسیب دائمی وارد کند. اگرچه این عارضه بیشتر در نوزادان و افراد مسن (بالای ۶۰ سال) دیده میشود، اما به دلیل علل مختلفی مانند آسیبهای مغزی، تومورها یا عفونتها، میتواند در هر سنی رخ دهد و نیازمند تشخیص سریع و مداخله پزشکی دقیق است.
درک اینکه این مایع اضافی از کجا میآید، چرا در چرخه طبیعی خود دچار اختلال میشود و چگونه عملکرد مغز را مختل میکند، اولین و مهمترین گام برای شناخت این بیماری است. تشخیص بهموقع هیدروسفالی میتواند تفاوت چشمگیری در نتیجه درمان، کاهش آسیبهای عصبی و بهبود کیفیت زندگی فرد ایجاد کند. در این مقاله جامع، ما به بررسی عمیق علائم، علل متنوع، و مهمتر از همه، روشهای دقیق تشخیصی میپردازیم که متخصصان مغز و اعصاب برای شناسایی این وضعیت به کار میگیرند. همچنین، جدیدترین و مؤثرترین رویکردهای درمانی را مرور خواهیم کرد تا تصویری کامل و کاربردی از مدیریت این بیماری ارائه دهیم.
سلب مسئولیت مهم این مقاله صرفاً برای اهداف اطلاعرسانی و آموزشی تهیه شده است و به هیچ عنوان جایگزین مشاوره، تشخیص یا درمان حرفهای پزشکی نیست. اطلاعات ارائهشده در اینجا نباید برای تشخیص یا درمان خودسرانه هیچ بیماری یا وضعیتی به کار رود. در صورت داشتن هرگونه سوال یا نگرانی در مورد وضعیت سلامتی خود یا عزیزانتان، فوراً با پزشک یا یک متخصص واجد شرایط مشورت کنید. هرگز اطلاعات پزشکی این وبسایت را نادیده نگیرید یا به دلیل آن، مراجعه به پزشک را به تأخیر نیندازید.
نکات کلیدی در یک نگاه
- علت اصلی: هیدروسفالی به دلیل عدم تعادل بین میزان تولید و جذب مایع مغزی-نخاعی (CSF) یا، در اکثر موارد، وجود یک انسداد فیزیکی در مسیر گردش آن در بطنهای مغزی رخ میدهد.
- علائم وابسته به سن: علائم این بیماری بهشدت وابسته به سن است. در نوزادان، رشد غیرطبیعی و سریع دور سر بارزترین نشانه است, در حالی که در کودکان سردرد و تهوع و در بزرگسالان مشکلات شناختی، اختلال در راه رفتن و حافظه شایعتر است.
- تشخیص قطعی: تشخیص دقیق یک فرآیند چندمرحلهای است که با معاینه کامل عصبی آغاز شده و با روشهای تصویربرداری پیشرفته مغز مانند MRI (استاندارد طلایی برای مشاهده جزئیات) و CT اسکن (برای ارزیابی سریع و اورژانسی) تأیید میشود.
- درمان مؤثر: از آنجا که هیدروسفالی یک مشکل مکانیکی است، درمان آن نیز مکانیکی و مبتنی بر جراحی است. رایجترین روشها شامل کارگذاشتن یک سیستم تخلیه به نام “شانت” یا ایجاد یک مسیر جایگزین برای جریان مایع با روش آندوسکوپیک “ETV” است.
- نوع خاص سالمندان: هیدروسفالی با فشار نرمال (NPH) نوعی از این بیماری است که عمدتاً سالمندان را تحت تأثیر قرار میدهد. علائم سهگانه آن (اختلال راه رفتن، زوال عقل و بیاختیاری ادرار) ممکن است به سادگی با عوارض طبیعی پیری یا بیماریهایی مانند آلزایمر و پارکینسون اشتباه گرفته شود و تشخیص داده نشود.
هیدروسفالی به زبان ساده؛ چرا مایع در مغز جمع میشود؟
برای درک عمیق هیدروسفالی، ابتدا باید با مایع مغزی-نخاعی و سیستم پیچیده تولید، گردش و جذب آن آشنا شویم.
مایع مغزی-نخاعی (CSF) چیست و چه وظایفی دارد؟
مایع مغزی-نخاعی مایعی شفاف، بیرنگ و متشکل از آب، پروتئینها، گلوکز و الکترولیتها است که مغز و نخاع را کاملاً در بر گرفته است. این مایع حیاتی توسط ساختارهای تخصصی به نام شبکه کوروئید که در بطنهای مغز قرار دارند، تولید میشود. چرخه زندگی CSF یک فرآیند پویا و مداوم است:
- تولید: در بطنها تولید میشود.
- گردش: از طریق یک سیستم بههم پیوسته از بطنها و کانالها، در سراسر مغز و اطراف نخاع به گردش در میآید.
- جذب: در نهایت توسط ساختارهای خاصی به نام پرزهای عنکبوتیه به جریان خون وریدی بازجذب میشود.
وظایف اصلی CSF عبارتند از:
- محافظت و ضربهگیری: مغز در این مایع شناور است که آن را از آسیبهای ناشی از حرکات ناگهانی سر و ضربهها محافظت میکند.
- تغذیه و تأمین مواد مغذی: مواد مغذی ضروری را از خون به بافتهای مغزی که دسترسی مستقیم به خون ندارند، میرساند.
- پاکسازی مواد زائد: محصولات جانبی متابولیسم سلولهای مغزی را جمعآوری کرده و برای دفع به خون منتقل میکند.
- تنظیم فشار و حجم: با جابجایی بین مغز و نخاع، به تنظیم فشار داخل جمجمه در پاسخ به تغییرات فشار خون کمک میکند.
در یک فرد سالم، روزانه حدود ۵۰۰ میلیلیتر (تقریباً دو لیوان) CSF تولید میشود و همان مقدار نیز بازجذب میگردد. این تعادل دقیق و حیاتی، فشار داخل جمجمه را در محدوده طبیعی و ایمن نگه میدارد.
مکانیسم ایجاد هیدروسفالی
هیدروسفالی زمانی رخ میدهد که این تعادل ظریف به هم میخورد و میزان مایع در بطنها افزایش مییابد. این اتفاق میتواند به یکی از سه دلیل اصلی زیر رخ دهد:
- انسداد : این شایعترین علت است. یک مانع فیزیکی مانند یک تومور، کیست، هماتوم (لخته خون) یا یک تنگی ساختاری (مانند تنگی مجرای سیلویوس)، مسیر طبیعی گردش CSF را مسدود میکند. در نتیجه، مایع در پشت نقطه انسداد تجمع یافته و باعث گشاد شدن بطنها و افزایش فشار میشود.
- کاهش جذب : گاهی اوقات، پرزهای عنکبوتیه که وظیفه بازجذب CSF را بر عهده دارند، در اثر التهاب ناشی از عفونت (مانند مننژیت) یا خونریزی (مانند خونریزی زیر عنکبوتیه) آسیب دیده یا مسدود میشوند. این امر باعث میشود CSF با سرعت کافی جذب نشود و انباشته گردد.
- تولید بیش از حد : این علت بسیار نادر است و معمولاً به دلیل وجود نوع خاصی از تومور خوشخیم در شبکه کوروئید (به نام پاپیلومای شبکه کوروئید) رخ میدهد که باعث تولید CSF بیش از حد طبیعی میشود.
انواع مختلف هیدروسفالی
پزشکان هیدروسفالی را بر اساس علت زمینهای، زمان وقوع و مکانیسم آن دستهبندی میکنند تا رویکرد تشخیصی و درمانی دقیقتری اتخاذ کنند:
- هیدروسفالی ارتباطی: در این نوع، هیچ انسداد فیزیکی بین بطنها وجود ندارد و مایع آزادانه جریان دارد، اما مشکل اصلی در مرحله جذب آن توسط پرزهای عنکبوتیه است. این نوع معمولاً پس از وقایعی مانند مننژیت یا خونریزی مغزی که باعث آسیب به سیستم جذب میشوند، رخ میدهد.
- هیدروسفالی غیرارتباطی یا انسدادی: این نوع شایعتر به دلیل وجود یک انسداد فیزیکی در مسیرهای باریک ارتباطی بین بطنها (مانند مجرای سیلویوس) ایجاد میشود. این انسداد میتواند ناشی از تومور، کیست یا ناهنجاریهای مادرزادی باشد.
- هیدروسفالی با فشار نرمال : این نوع منحصربهفرد که معمولاً در افراد بالای ۶۰ سال دیده میشود، یک معضل تشخیصی است. بطنها بزرگ میشوند، اما فشار CSF در اندازهگیریهای لحظهای (مانند پونکسیون کمری) ممکن است طبیعی یا فقط کمی بالا باشد. نظریهها حاکی از آن است که فشار ممکن است به صورت متناوب در طول شبانهروز افزایش یابد. علت دقیق آن هنوز به طور کامل مشخص نیست اما اغلب با افزایش سن، آسیب به سر یا بیماریهای عروقی مرتبط است.
- هیدروسفالی مادرزادی در مقابل اکتسابی: هیدروسفالی مادرزادی از بدو تولد وجود دارد یا در دوران جنینی به دلیل ناهنجاریهای ژنتیکی (مانند تنگی مجرای سیلویوس)، عفونتهای رحمی مادر (مانند سرخجه) یا همراه با سایر نقایص مادرزادی (مانند اسپاینا بیفیدا) ایجاد میشود. هیدروسفالی اکتسابی در هر سنی پس از تولد به دلیل آسیب شدید به سر، تومور مغزی، سکته مغزی، عفونت یا خونریزی مغزی رخ میدهد.
علائم هشداردهنده هیدروسفالی در گروههای سنی مختلف

تظاهرات بالینی هیدروسفالی بهشدت به سن بیمار، سرعت پیشرفت بیماری و میزان انعطافپذیری استخوانهای جمجمه بستگی دارد.
علائم در نوزادان و شیرخواران
در نوزادان، استخوانهای جمجمه هنوز نرم هستند و به طور کامل به هم جوش نخوردهاند. این ویژگی باعث میشود که سر بتواند برای جبران فشار فزاینده داخلی، مانند یک بادکنک بزرگ شود.
- رشد سریع و غیرطبیعی دور سر: این مهمترین و واضحترین علامت است که در معاینات دورهای نوزاد توسط پزشک اندازهگیری و با نمودارهای رشد مقایسه میشود.
- ملاج یا فونتانل برآمده و سفت: نقطه نرم بالای سر (فونتانل قدامی) به جای صاف یا کمی فرورفته بودن، متورم، سفت و ضرباندار است.
- رگهای برجسته و قابل مشاهده روی پوست سر.
- نگاه خیره به پایین (علامت غروب آفتاب): فشار بر روی اعصاب کنترلکننده حرکت چشم باعث میشود چشمها به سمت پایین منحرف شده و سفیدی بالای عنبیه نمایان شود.
- تحریکپذیری، بیقراری و گریههای شدید و جیغمانند و غیرقابل تسکین.
- خوابآلودگی بیش از حد، بیحالی یا مشکل در بیدار ماندن برای تغذیه.
- استفراغهای جهنده و بدون دلیل مشخص.
- تشنج.
علائم در کودکان نوپا و بزرگتر
با بسته شدن استخوانهای جمجمه، سر دیگر نمیتواند منبسط شود و تمام فشار مستقیماً به مغز وارد میشود.
- سردردهای شدید و مداوم که اغلب صبحها پس از بیدار شدن بدتر است.
- تهوع و استفراغ، بهویژه در صبح و اغلب بدون حالت تهوع قبلی.
- تاری دید یا دوبینی: به دلیل فشار بر عصب بینایی .
- مشکلات تعادل، راه رفتن ناشیانه و ناهماهنگی حرکتی.
- خستگی شدید، خوابآلودگی غیرعادی در طول روز.
- تغییرات شخصیتی، تحریکپذیری یا افت ناگهانی در عملکرد تحصیلی و مدرسه.
- تأخیر یا پسرفت در رسیدن به مراحل کلیدی رشد (مانند کنترل ادرار، صحبت کردن یا مهارتهای حرکتی).
علائم در بزرگسالان
علائم در بزرگسالان جوان و میانسال مشابه کودکان بزرگتر است اما ممکن است تدریجیتر ظاهر شود:
- سردردهای مزمن و مداوم.
- مشکلات حافظه، تمرکز و کندی در پردازش اطلاعات.
- اختلال در راه رفتن و از دست دادن تعادل.
- تهوع و مشکلات بینایی مانند تاری دید.
علائم کلاسیک در هیدروسفالی با فشار نرمال (NPH) در سالمندان
NPH با یک سهگانه کلاسیک از علائم شناخته میشود که متأسفانه اغلب به اشتباه به عوارض “طبیعی” افزایش سن یا بیماریهای دیگر مانند آلزایمر، پارکینسون یا آرتروز نسبت داده میشود:
- اختلال در راه رفتن : این معمولاً اولین و بارزترین علامت است. بیمار به صورت آهسته، با پاهای باز (برای حفظ تعادل) و با قدمهای کوتاه و نامنظم راه میرود. به این حالت “راه رفتن مغناطیسی” میگویند، گویی پاهای فرد به زمین چسبیده است.
- بیاختیاری ادرار : ابتدا به صورت تکرر و فوریت در ادرار ظاهر شده و به تدریج به بیاختیاری کامل منجر میشود.
- زوال عقل : این زوال عقل با کندی عمومی تفکر، بیتفاوتی، فراموشی، از دست دادن تمرکز و مشکل در انجام وظایف چندمرحلهای مشخص میشود. این حالت بیشتر شبیه کند شدن “پردازنده” مغز است تا از دست رفتن “حافظه” که در آلزایمر دیده میشود.
فرآیند گام به گام تشخیص هیدروسفالی

تشخیص دقیق هیدروسفالی نیازمند یک رویکرد سیستماتیک و چندمرحلهای است که ترکیبی از ارزیابیهای بالینی دقیق و فناوریهای تصویربرداری پیشرفته را شامل میشود.
مرحله اول: ارزیابی اولیه: معاینه بالینی و بررسی سابقه پزشکی
فرآیند تشخیص همیشه با یک شرح حال کامل پزشکی و یک معاینه فیزیکی و عصبی دقیق توسط پزشک متخصص مغز و اعصاب آغاز میشود.
- سابقه پزشکی: پرسش در مورد هرگونه سابقه آسیب به سر، عفونتهای سیستم عصبی (مانند مننژیت)، جراحی مغز، تومور، سکته مغزی یا خونریزی مغزی در گذشته.
- بررسی دقیق علائم: پزشک به دقت در مورد ماهیت علائم بیمار، زمان شروع، شدت و عواملی که آنها را تشدید یا تسکین میدهند، سوال میکند.
- معاینه فیزیکی: در نوزادان، اندازهگیری دقیق دور سر و مقایسه آن با نمودارهای رشد استاندارد، و همچنین لمس ملاج برای بررسی سفتی و برآمدگی، از اهمیت بالایی برخوردار است.
- معاینه عصبی جامع: این معاینه برای ارزیابی عملکرد مغز و سیستم عصبی طراحی شده و شامل تستهای دقیقی برای بررسی موارد زیر است:
- تعادل و راه رفتن: مشاهده نحوه راه رفتن بیمار.
- قدرت عضلات و هماهنگی حرکتی: تستهایی مانند لمس بینی با انگشت.
- رفلکسها: بررسی رفلکسهای عمقی تاندونها.
- بینایی: معاینه ته چشم با افتالموسکوپ برای بررسی تورم عصب بینایی که نشانه افزایش فشار داخل جمجمه است.
- وضعیت ذهنی و شناختی: ارزیابی هوشیاری، حافظه، تمرکز و سایر عملکردهای اجرایی.
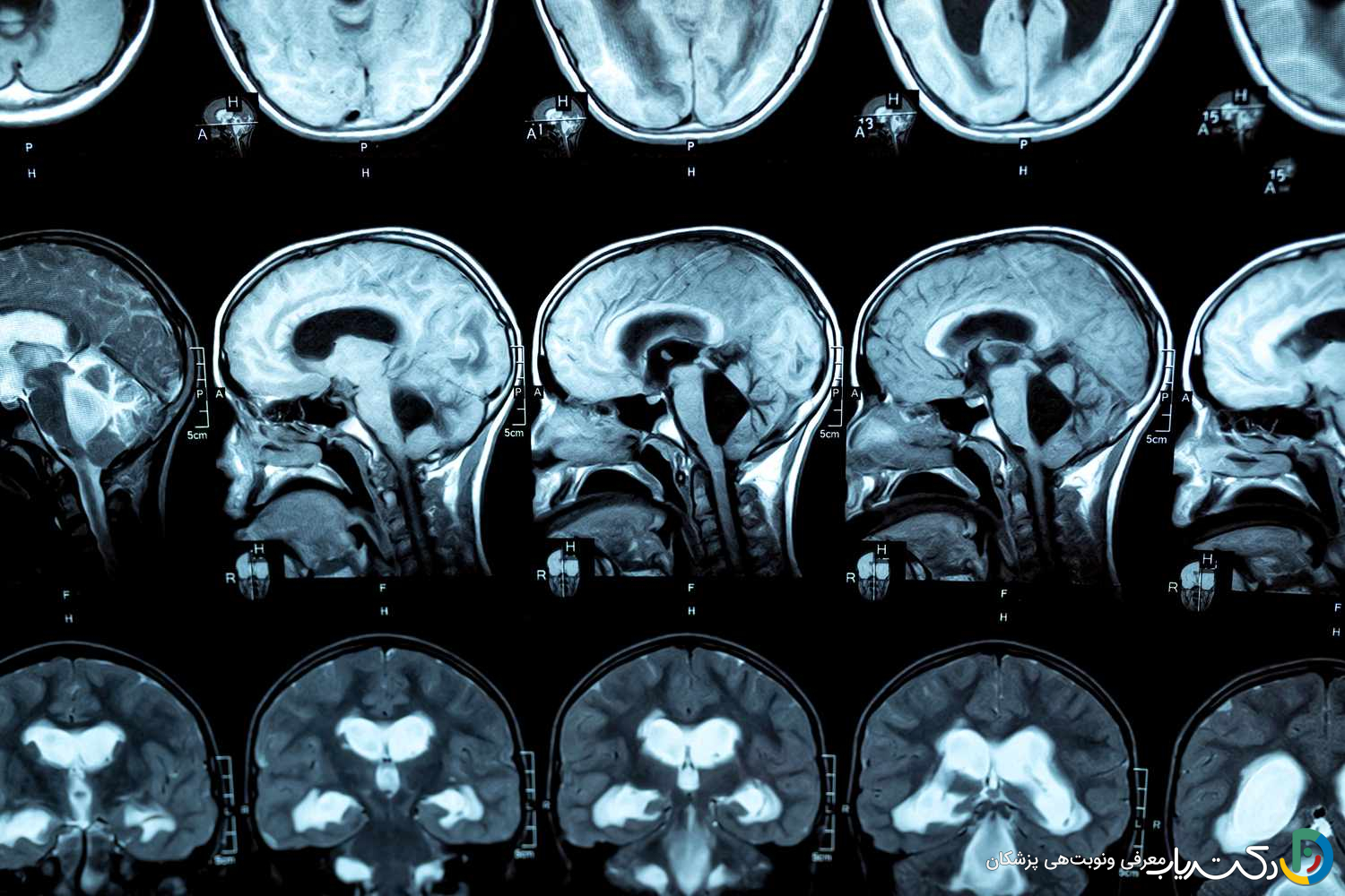
مرحله دوم: ستون اصلی تشخیص: تصویربرداری عصبی
اگر معاینه اولیه مشکوک به هیدروسفالی باشد، قدم بعدی استفاده از تکنیکهای تصویربرداری برای مشاهده مستقیم مغز، ارزیابی اندازه بطنها و یافتن علت احتمالی است.
- سونوگرافی : این روش سریع، ارزان، بدون درد و بدون اشعه است و بهترین و اولین گزینه برای نوزادان است، زیرا امواج صوتی میتوانند از طریق ملاج باز (قبل از بسته شدن کامل جمجمه) عبور کرده و تصویری واضح از بطنهای مغز ارائه دهند.
- اسکن توموگرافی کامپیوتری: سیتی اسکن با استفاده از اشعه ایکس، تصاویر مقطعی و سریع از مغز ایجاد میکند. این روش برای تشخیصهای اورژانسی (مانند پس از یک آسیب شدید به سر) یا برای ارزیابی سریع اندازه بطنها بسیار مفید است. سیتی اسکن بهوضوح میتواند بزرگ شدن بطنها و وجود خونریزی حاد را نشان دهد.
- تصویربرداری رزونانس مغناطیسی (MRI): امآرآی بهعنوان استاندارد طلایی برای تشخیص و ارزیابی کامل هیدروسفالی شناخته میشود. این روش بدون استفاده از اشعه ایکس، با استفاده از امواج رادیویی و یک میدان مغناطیسی قوی، تصاویر بسیار دقیق و با جزئیات بالا از ساختارهای نرم مغز ایجاد میکند. MRI نه تنها بزرگ شدن بطنها را با دقت فوقالعاده نشان میدهد، بلکه میتواند علت زمینهای مانند تومور، کیست، التهاب یا ناهنجاریهای ساختاری را نیز شناسایی کند. سکانسهای خاصی از MRI (مانند CINE-MRI) حتی میتوانند جریان و سرعت حرکت CSF را در مغز به تصویر بکشند و به تشخیص نوع انسدادی از ارتباطی کمک کنند.
جدول مقایسه روشهای تصویربرداری در تشخیص هیدروسفالی
| ویژگی | تصویربرداری رزونانس مغناطیسی (MRI) | اسکن توموگرافی کامپیوتری (CT Scan) | سونوگرافی |
|---|---|---|---|
| دقت و جزئیات | بسیار بالا، بهترین دید از بافت نرم | خوب، عالی برای استخوان و خونریزی | متوسط، وابسته به اپراتور |
| سرعت | آهسته (۳۰ تا ۶۰ دقیقه) | بسیار سریع (کمتر از ۵ دقیقه) | سریع (۱۰ تا ۱۵ دقیقه) |
| هزینه | گران | متوسط | ارزان |
| کاربرد اصلی | تشخیص دقیق، یافتن علت زمینهای | موارد اورژانسی، ارزیابی سریع | نوزادان (از طریق ملاج باز) |
| خطرات | بدون اشعه، اما برای افراد با فلز در بدن مناسب نیست | دارای اشعه ایکس (دوز پایین) | بدون خطر شناختهشده |
مرحله سوم: سایر تستهای تکمیلی و تخصصی
در برخی موارد، بهویژه برای تشخیص NPH یا زمانی که تشخیص قطعی نیست، ممکن است از تستهای بیشتری استفاده شود:
- پونکسیون کمری : در این روش، پزشک با استفاده از یک سوزن نازک، مقدار کمی از CSF را از ناحیه پایین کمر خارج میکند. این کار به دو منظور انجام میشود: ۱) اندازهگیری فشار اولیه CSF و ۲) آنالیز آزمایشگاهی مایع برای رد کردن عفونت یا خونریزی. در بیماران مشکوک به NPH، برداشتن ۳۰ تا ۵۰ میلیلیتر از مایع ممکن است به طور موقت باعث بهبود علائم (بهویژه راه رفتن) شود که این یک شاخص تشخیصی قوی است.
- نظارت بر فشار داخل جمجمه: در موارد پیچیده، یک حسگر فشار کوچک از طریق یک سوراخ در جمجمه وارد مغز یا بطنها میشود تا فشار را به طور مداوم برای ۲۴ تا ۴۸ ساعت ثبت کند. این کار به تشخیص الگوهای فشار غیرطبیعی کمک میکند.
- ارزیابیهای عصب-روانشناختی: این تستها توسط یک روانشناس متخصص برای ارزیابی دقیق عملکردهای شناختی مانند حافظه، تمرکز و مهارتهای حل مسئله انجام میشود و در تشخیص و پیگیری NPH بسیار مفید است.
راهکارهای درمانی موجود برای هیدروسفالی

مهم: قبل از هرگونه اقدام درمانی، حتماً با پزشک یا جراح مغز و اعصاب خود مشورت کنید. درمان هیدروسفالی تقریباً همیشه نیازمند مداخله جراحی برای بازگرداندن جریان طبیعی CSF یا تخلیه مایع اضافی است. انتخاب روش درمانی به علت، شدت و نوع هیدروسفالی بستگی دارد.
سیستم شانت: رایجترین روش درمانی
درمان استاندارد و متداول برای هیدروسفالی، کارگذاری یک سیستم شانت است. شانت یک لوله پلاستیکی نازک و انعطافپذیر است که مایع مغزی-نخاعی اضافی را از بطنهای مغز به قسمت دیگری از بدن که بتواند آن را جذب کند، منتقل میکند. این سیستم از سه بخش تشکیل شده است:
- کاتتر ورودی (بطنی): لولهای که در یکی از بطنهای مغز قرار میگیرد.
- دریچه : یک دستگاه کنترل فشار یکطرفه که زیر پوست سر قرار میگیرد و میزان تخلیه مایع را تنظیم میکند.
- کاتتر خروجی: لولهای که مایع را به محل جذب هدایت میکند. رایجترین محل، حفره شکمی است (شانت بطنی-صفاقی یا VP Shunt).
شانتها معمولاً برای تمام عمر در بدن باقی میمانند، اما ممکن است به دلیل عفونت، انسداد یا نقص فنی نیاز به بازبینی یا تعویض داشته باشند.
ونتریکولوستومی سوم اندوسکوپیک (ETV): یک جایگزین جراحی
این روش یک جایگزین برای شانت است که عمدتاً برای هیدروسفالیهای انسدادی استفاده میشود. در ETV، جراح با استفاده از یک اندوسکوپ (یک دوربین کوچک متصل به یک لوله نازک)، یک سوراخ کوچک در کف بطن سوم مغز ایجاد میکند. این سوراخ یک مسیر جدید برای خروج CSF ایجاد کرده و به آن اجازه میدهد تا نقطه انسداد را دور زده و به محل طبیعی جذب خود برسد. مزیت اصلی ETV این است که هیچ جسم خارجی (مانند شانت) در بدن کاشته نمیشود و خطر عفونت یا نقص فنی مرتبط با شانت را کاهش میدهد.
پرسشهای متداول درباره هیدروسفالی
سوال ۱: آیا هیدروسفالی قابل درمان قطعی است؟ هیدروسفالی یک بیماری مزمن است و معمولاً درمان قطعی ندارد، اما با روشهای جراحی مانند شانتگذاری یا ETV میتوان آن را به طور مؤثر مدیریت کرد. افراد تحت درمان میتوانند زندگی کامل و فعالی داشته باشند، اما نیازمend نظارت و پیگیری پزشکی مادامالعمر هستند.
سوال ۲: آیا هیدروسفالی یک بیماری ژنتیکی یا ارثی است؟ در بیشتر موارد، خیر. اما برخی از انواع هیدروسفالی مادرزادی میتوانند با ناهنجاریهای ژنتیکی مرتبط باشند. اگر سابقهای از این بیماری در خانواده وجود دارد، مشاوره ژنتیک ممکن است توصیه شود.
سوال ۳: آیا بزرگسالان نیز ممکن است به هیدروسفالی مبتلا شوند؟ بله. هیدروسفالی اکتسابی میتواند در هر سنی به دلیل آسیب مغزی، تومور، سکته مغزی یا عفونت رخ دهد. همچنین، هیدروسفالی با فشار نرمال (NPH) یک بیماری است که بهطور خاص در سالمندان بروز میکند.
سوال ۴: خطرات جراحی شانتگذاری چیست؟ مانند هر جراحی دیگری، شانتگذاری نیز خطراتی مانند خونریزی و عفونت را به همراه دارد. خطرات خاص شانت شامل نقص مکانیکی (انسداد یا شکستگی لوله) و تخلیه بیش از حد یا کمتر از حد مایع است که ممکن است نیازمند جراحی مجدد برای تنظیم یا تعویض شانت باشد.
سوال ۵: آیا میتوان از هیدروسفالی پیشگیری کرد؟ نمیتوان از همه انواع هیدروسفالی پیشگیری کرد. با این حال، اقداماتی مانند مراقبتهای مناسب دوران بارداری برای کاهش خطر عفونتهای مادرزادی، استفاده از کلاه ایمنی برای جلوگیری از آسیبهای مغزی، و واکسیناسیون علیه بیماریهایی مانند مننژیت میتواند خطر ابتلا به هیدروسفالی اکتسابی را کاهش دهد.
راهکارهای نهایی برای مدیریت هیدروسفالی
هیدروسفالی یک چالش پزشکی جدی است، اما با پیشرفتهای چشمگیر در تکنیکهای تشخیصی و درمانی، چشمانداز بیماران به طور قابل توجهی بهبود یافته است. کلید موفقیت در مدیریت این بیماری، تشخیص زودهنگام و دقیق است. شناخت علائم هشداردهنده در هر گروه سنی، از رشد غیرعادی سر در یک نوزاد گرفته تا مشکلات راه رفتن در یک فرد مسن، حیاتی است.
روشهای تصویربرداری مدرن مانند MRI به پزشکان این امکان را میدهند که نه تنها وجود هیدروسفالی را تأیید کنند، بلکه علت اصلی آن را نیز بیابند که این امر برای انتخاب بهترین رویکرد درمانی ضروری است. اگرچه درمان معمولاً شامل جراحی است، اما این مداخلات میتوانند فشار مضر روی مغز را کاهش داده و به فرد اجازه دهند تا به زندگی عادی خود بازگردد.
اگر شما یا یکی از نزدیکانتان علائمی را تجربه میکنید که ممکن است به هیدروسفالی مرتبط باشد، درنگ نکنید. برای ارزیابی دقیق شرایط خود، با پزشک متخصص یا جراح مغز و اعصاب مشورت کنید.
لیست پزشکان مرتبط:
- طیبه عباسیونمتخصص مغز و اعصاب (نورولوژی) | تهران
- مهدی سخابخشمتخصص مغز و اعصاب (نورولوژی) | تهران
- بابک زمانیمتخصص مغز و اعصاب (نورولوژی) | تهران
- رویا ابوالفضلیمتخصص مغز و اعصاب (نورولوژی) | تهران
- علیرضا رنجبر نائینیمتخصص مغز و اعصاب (نورولوژی) | تهران
- سید سهراب هاشمی فشارکیمتخصص مغز و اعصاب (نورولوژی) | تهران
- کلینیک مغز و اعصاب نورالیکلینیک مغز و اعصاب و نوروساینس | تهران
- ساناز معصومیمتخصص مغز و اعصاب (نورولوژی) | تهران
- منیره اسلامیمتخصص مغز و اعصاب (نورولوژی) | تهران
- فاطمه شعبانیمتخصص مغز و اعصاب (نورولوژی) | تهران

